
Le docteur Ramon Vila, l’un des plus grands spécialistes de la chirurgie vasculaire peu invasive en Espagne, est responsable du service d’angiographie et de chirurgie vasculaire de l’hôpital universitaire de Bellvitge de Barcelone, en Espagne, qui réalise 1 000 interventions vasculaires par an.
À l’aide de l’arceau mobile Philips Zenition, le docteur Vila obtient des images de haute qualité qui lui permettent d’effectuer la plupart des procédures vasculaires à faible dose.
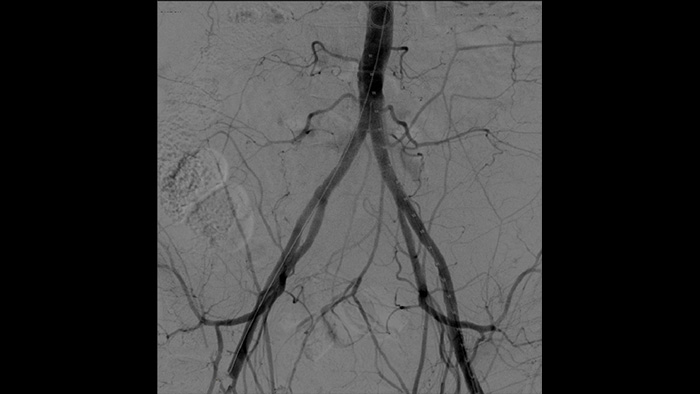
Grâce au système Zenition, la qualité des images en angiographie par soustraction numérique s’est considérablement améliorée. Nous ne voyons plus d’image granuleuse. Nous voyons une image très claire."
Dr R. Vila, docteur en médecine
Hôpital universitaire de Bellvitge, Barcelone, Espagne
Conçu pour une utilisation facilitée dans des salles d’opération à rotation rapide, le système Zenition s’appuie sur le flux de travail Philips Unify pour une expérience intuitive et simplifiée vous offrant un sentiment de confiance immédiat lors de toute intervention et de toute procédure chirurgicale.

L’angiographie par soustraction numérique (ASN) est utilisée dans les procédures vasculaires interventionnelles pour visualiser clairement les vaisseaux sanguins en retirant les structures qui peuvent masquer la visibilité des vaisseaux. Le guidage fluoroscopique superpose une image de contraste soustraite acquise précédemment sur la fluoroscopie en temps réel, ce qui vous permet de suivre un appareil sans réinjecter de produit de contraste.
En complément de la plate-forme Zenition 70, le module à écran tactile2 (TSM) prend en charge les commandes depuis la table pour les chirurgiens lors des interventions. Grâce à l’écran tactile, vous pouvez sélectionner et faire glisser des éléments ou effectuer des zooms en toute simplicité. Visualisez les images en temps réel et gagnez en confiance lors des procédures.

L’outil de contour permet de marquer facilement une bifurcation ou des branches latérales en dessinant simplement sur le moniteur du poste de visualisation mobile avec votre doigt ou une souris connectée en externe.

Améliorez la visibilité des vaisseaux sinueux avec les options de contraste à base d’iode et de CO2. Contrôlez facilement les injections depuis la table. Pour les patients souffrant d’insuffisance rénale, vous pouvez utiliser l’option CO2 pour visualiser facilement les petits vaisseaux sans utiliser de produit de contraste iodé.
Il est plus facile de voir un guide par rapport à notre ancien système. Vous pouvez désormais voir la pointe et l’angle du fil qui se déroule, même avec des fils de 0,35 mm.
En effet, le système Zenition compense ce qui est métallique et ce qui bouge."
Dr R. Vila, docteur en médecine
Hôpital universitaire de Bellvitge, Barcelone, Espagne
1 Résultats obtenus au cours de tests utilisateurs réalisés en novembre 2013 par Use-Lab GmbH, société indépendante. Ces tests se sont déroulés auprès de 30 cliniciens basés aux États-Unis (15 médecins ont collaboré avec 15 infirmiers ou manipulateurs en radiologie), qui ont simulé des procédures avec les systèmes de radiologie mobiles Philips dans un environnement simulé de salle d’opération. Auparavant, aucun d’entre eux n’avait travaillé avec les autres participants. 2 Le TSM est disponible en option sur le Zenition 70 uniquement Le système Zenition est un dispositif médical de classe IIb fabriqué par Philips et dont l’évaluation de la conformité a été réalisée par l’organisme notifié DEKRA Certification BV CE0344. Il est destiné au diagnostic médical par imagerie à rayons X. Les actes diagnostiques sont pris en charge par les organismes d’assurance maladie dans certaines situations. Lisez attentivement la notice d’utilisation. Mai 2023.
You are about to visit a Philips global content page
Continue