Cardiologie

Gamme clinique d’IntelliSpace Portal

Changer les règles du jeu pour la cardiologie avec visualisation avancée

Diagnostiquer et surveiller les cardiopathies de manière globale. Des modèles 3D, cartographies et autres outils quantitatifs permettent une analyse rapide, pour soutenir le travail de diagnostic. Combinez l’imagerie diagnostique avancée avec l’imagerie interventionnelle en intégrant votre salle interventionnelle Allura/Azurion à IntelliSpace Portal, afin de récupérer automatiquement dans le portail les données de vos patients programmés.

Calcium Scoring (cotation du calcium cardiaque)

CT Calcium Scoring

Segmentation tridimensionnelle du calcium en un clic

Quantifie rapidement la calcification des artères coronaires (CAC) à partir de différents protocoles d’évaluation – masse, Agatston et volume – et génère automatiquement des rapports personnalisables, disponibles en format papier ou électronique, pour la diffusion des résultats.

Vignette du calcium scoring

Avantages

  • Segmentation et quantification 3D en un clic de la calcification des artères coronaires (CAC) avec différents protocoles d’évaluation – masse, Agatston et volume.
  • Rapports personnalisés des mesures et cotations du calcium.
  • Chaque rapport peut être modifié. Il est possible de créer facilement de nouveaux modèles par défaut et de les inclure dans la configuration du système.
  • Le score de risque Multi-Ethnic Study of Atherosclerosis (MESA) et les rapports sont intégrés au processus de travail.

Cardiac Plaque Assessment (évaluation des plaques cardiaques)

CT Cardiac Plaque Assessment

Évaluer la plaque coronarienne

Évaluez la formation de plaques avec CT Cardiac Plaque Assessment. Cette application prend en charge la quantification et l’analyse de la plaque coronarienne.

Vignette cardiac plaque assessment

Avantages

  • Inclut des fonctionnalités qui prennent en charge la quantification et la caractérisation de la plaque coronarienne à partir de données de tomodensitométrie multidétecteur (TDMD).

Cardiac Viewer (visionneuse cardiaque)

CT Cardiac Viewer

Visualisation rapide de la fonction cardiaque

Intègre un ensemble complet d’outils pour la visualisation rapide d’une ou plusieurs phases cardiaques.

miniature cardiac viewer

Avantages

  • Synchronisation de plusieurs phases cardiaques à l’aide d’outils interactifs MIP pour les coupes à des fins d’analyse ultérieure.
  • Suppression de la cage thoracique pour les acquisitions TDM cardiaques : permet une image anatomique du rendu volumique 3D du cœur et des gros vaisseaux sanguins qui y sont reliés, une fois la structure de la cage thoracique supprimée automatiquement, pour différents types d’utilisations cliniques et protocoles d’acquisition. Cela permet de faciliter la visualisation des structures anatomiques complexes et de partager les résultats (avec des chirurgiens, par exemple).

Comprehensive Cardiac Analysis (CCA, analyse cardiaque complète)

CT Comprehensive Cardiac Analysis

CT Cardiac Analysis

Cette application repose sur une segmentation automatique et modélisée en 3D du cœur entier et une segmentation en zéro clic des artères coronaires. Cela permet l’extraction et la visualisation automatiques de l’intégralité de l’arbre coronaire.

Vignette comprehensive cardiac analysis

Avantages

  • Visualiser l’intégralité de l’arbre coronaire, la lumière vasculaire via analyse morphologique et analyser le diamètre libre de la lumière.
  • Procéder à l’analyse fonctionnelle des ventricules et de la morphologie des cavités cardiaques et des valves en 3D grâce à un mode ciné dynamique. Les calculs suivants ont été ajoutés : volume de régurgitation et indice de fraction, volumes de remplissage précoce et tardif (actif et passif) des VD/VG et taux de remplissage précoce et tardif du VG.

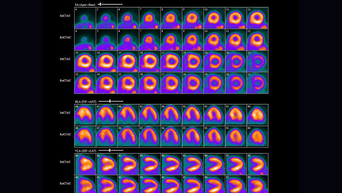
MI Fusion

CT-MI Fusion

Fusion des images cardiaques TDM-IM

Cardiac CT-MI Fusion intègre la prise en charge de l’imagerie de perfusion myocardique (IPM).

ct mi fusion

Avantages

  • Permet de charger les données d’images IM suivantes en même temps que les données TDM : au repos (acquisition synchronisée et non synchronisée) et
    à l’effort (acquisition synchronisée et non synchronisée).
  • Les images IM s’affichent dans le plan du petit axe et les plans des deux grands axes.
  • La définition des axes est dérivée de l’étude TDM.

Dynamic Myocardial Perfusion (DMP)

CT Dynamic Myocardial Perfusion (DMP)

Cartographie couleur dynamique pour l’évaluation du risque myocardique

Cette application permet de visualiser, d’évaluer et de quantifier les images cardiaques, notamment du myocarde du ventricule gauche : elle fournit, en particulier, des mesures quantitatives de la cinétique vasculaire myocardique pour l’imagerie TDM, et elle est également capable d’identifier les zones de perfusion réduite au niveau du myocarde, suggérant une ischémie. Cette application prend en charge les images TDM axiales, avec synchronisation ECG, composées de plusieurs captures temporelles de la même région myocardique dans le temps. L’application CT Dynamic Myocardial Perfusion affiche les résultats sous forme d’image composite (une seule image calculée à partir d’un ensemble d’images temporelles prises à un seul emplacement).

miniature dynamic myocardial perfusion

Avantages

  • Représentation avec échelle de couleur du débit sanguin et du volume sanguin du myocarde.
  • Analyse des paramètres de perfusion grâce à une cartographie couleur et des courbes de densité en fonction du temps.
  • Alignement spatial pour une meilleure quantification de la perfusion myocardique.

EP Planning (planification d’examen électrophysiologique)

CT EP Planning

Planification des procédures d’électrophysiologie

CT EP Planning permet aux rythmologues d’identifier rapidement l’anatomie utile pour la procédure d’électrophysiologie.

Vignette ep planning

Avantages

  • Offre une vue anatomique globale permettant l’évaluation des veines pulmonaires, de l’oreillette gauche et de son auricule. L’électrophysiologiste peut alors identifier l’anatomie susceptible de compliquer la procédure d’électrophysiologie.

Myocardial Defect Assessment

CT Myocardial Defect Assessment

Évaluation des anomalies myocardiques

Offre une évaluation visuelle et quantitative des zones de faible atténuation segmentées du myocarde à partir des données d’une seule angiographie par TDM synchronisée unique (spirale avec synchronisation rétrospective ou imagerie Step & Shoot Cardiac).
 

L’application CT Myocardial Defect Assessment repose sur la segmentation performante, automatique et modélisée du cœur entier CT Comprehensive Cardiac Analysis (CCA).

myocardial defect assessment

Avantages

  • Évaluation visuelle des zones de faible atténuation du myocarde du ventricule gauche :

- cartographies couleur sur les coupes petit axe

- cartographies de segmentation sur le petit axe et les représentations polaires, parallèlement aux images de référence sur le grand axe

- visualisation volumique des artères coronaires parallèlement à la cartographie de segmentation superposée à la surface myocardique 3D.

Spectral Advanced Vessel Analysis

CT Spectral Advanced Vessel Analysis

Fonctionnalité de IQon Spectral CT

Avantages

  • Suppression des structures osseuses pour différents niveaux d’énergie.
  • Tracés spectraux pour caractériser les plaques et la sténose.
  • Comparaison des résultats d’énergie.
  • Évaluation de l’étendue de l’occlusion lumineuse.

miniature spectral advanced vessel analysis
Spectral Comprehensive Cardiac Analysis

CT Spectral Comprehensive Cardiac Analysis

Fonctionnalité de IQon Spectral CT

Permet d’exécuter la segmentation cardiaque à différents niveaux d’énergie, de comparer les courbes des vaisseaux avec divers types de données spectrales et d’améliorer l’évaluation visuelle de la perméabilité des vaisseaux coronaires.

spectral comprehensive cardiac analysis

Avantages

  • Chambre de calibration automatique et segmentation des coronaires à l’aide d’images monoénergétiques.
  • Réduction du renforcement du faisceau pour : la visualisation des déficits de perfusion et la visualisation de la plaque calcifiée.

Spectral Light Magic Glass

CT Spectral Light Magic Glass

Permet l’utilisation rétrospective de données TDM spectrales enregistrées sous forme de SBI. Permet de consulter les données TDM spectrales et d’identifier les résultats les plus pertinents à lancer dans l’application de tomodensitométrie conventionnelle pour le travail de routine – même pour les applications qui n’ont pas été développées pour prendre en charge la fonctionnalité spectrale.

Vignette spectral light magic glass

Avantages

  • Permet de consulter les données TDM spectrales et d’identifier les résultats les plus pertinents à lancer dans l’application de tomodensitométrie conventionnelle pour le travail de routine – même pour les applications qui n’ont pas été développées pour prendre en charge la fonctionnalité spectrale :

- Application de coloscopie virtuelle

- Application Liver

- Trauma Viewer (Acute Multifunctional Review)

- Application TAVI

- Application PAA

- Application Brain Perfusion

- Application de TDM fonctionnelle (FCT).

Spectral Magic Glass on PACS

CT Spectral Magic Glass on PACS*

Fonctionnalité de IQon Spectral CT

IQon Spectral CT est le seul scanner équipé de CT Spectral Light Magic Glass et de Spectral Magic Glass on PACS, pour aider les radiologues à étudier et analyser simultanément différentes couches de données TDM spectrales, y compris sur leur PACS.

miniature spectral magic glass on pacs

Avantages

  • Analyse simultanée à la demande de plusieurs résultats spectraux pour une région d’intérêt (ROI).
  • S’intègre à la configuration PACS actuelle d’un système de santé pour certains fournisseurs PACS.
  • Résultats spectraux visualisables dans l’environnement de lecture habituel.
  • Visualiser et analyser les données TDM spectrales à l’échelle de l’établissement permet d’accéder à des capacités pratiquement partout dans l’établissement hospitalier.

* Standard avec l’option CT Spectral sur IntelliSpace Portal.

TAVI Planning

CT TAVI Planning

Imagerie TDM dans le cadre des procédures TAVI pour une évolution de la prise en charge des patients

Fournit des mesures semi-automatiques de l’aorte et de la valve aortique utilisées dans le cadre de la planification préalable des procédures d’implantation d’une valve aortique percutanée (TAVI).

Vignette tavi planning

Avantages

  • Segmentation modélisée de la valve aortique avec la segmentation automatique du calcium et une meilleure détection des repérages.
  • Mesures des dimensions des structures anatomiques pertinentes pour déterminer la taille de la prothèse TAVI.
  • Fournit un angle de départ raisonnable de l’arceau lors de la pose du dispositif, en salle de cathétérisme ou en salle d’opération hybride.
  • Voie d’abord vasculaire incluse dans l’application, pour un gain de temps potentiel.

3D Modeling

Modélisation 3D*

Processus de travail de modélisation rationalisé et optimisé pour l’impression 3D

IntelliSpace Portal propose une application de modélisation 3D dédiée à la création et à l’exportation de modèles 3D. Un environnement de segmentation intégré rassemble les outils de segmentation d’IntelliSpace Portal au même endroit, afin de simplifier le processus de travail.

miniature 3d modeling

Avantages

  • Prend en charge l’importation de segmentations 3D à partir d’autres applications ou la création de vos modèles personnalisés directement à partir d’images DICOM.
  • Comprend un ensemble d’outils de modification et de rendu conçus pour les cliniciens afin d’optimiser un modèle pour l’impression, de sorte que le modèle reflète l’anatomie réelle du patient.
  • Les médecins peuvent comparer les mailles à l’imagerie DICOM d’origine et faire des ajustements en temps réel :

- Fichiers de lots de modélisation 3D pour une exportation facile dans des formats standard (par exemple STL) et aussi en PDF 3D, exploitable pour la communication dans le service.

- Diverses options d’exportation permettent de rationaliser le transfert de votre fichier vers un service d’impression ou pour l’usage interne de l’hôpital.

* Aux États-Unis, les modèles 3D ne sont pas destinés à être utilisés à des fins de diagnostic.

Advanced Vessel Analysis (AVA)

Multi Modality Advanced Vessel Analysis (AVA)

Planification complète de l’analyse vasculaire

L’application Multi Modality Advanced Vessel Analysis (AVA)* est conçue pour examiner et quantifier les différents types de lésions vasculaires à partir d’angiographies par TDM ou par IRM. AVA peut inclure différents modes d’inspection et vous permet de créer des libellés pour différentes lésions vasculaires ainsi que de parcourir facilement les divers résultats.
 

CT Advanced Vessel Analysis (AVA) Stent Planning donne accès à l’utilisateur à des informations quantitatives et à des paramètres du stent afin de lui fournir des données utiles pour des procédures d’intervention comme la réparation endovasculaire d’un anévrisme.

miniature advanced vessel analysis

Avantages

  • Algorithme fiable de suppression des structures osseuses pour une visualisation des vaisseaux en 3D.
  • Des outils automatiques, tels que la définition des lignes centrales, le marquage des vaisseaux et la délimitation des contours internes
    et externes de la lumière, ainsi que la fonction Automatic Series Creation
    (ASC) permettent de réduire le délai d’obtention des résultats finaux
    et d’améliorer la cohérence.
  • Vous pouvez facilement parcourir les divers résultats, puis exporter les rapports complets personnalisables vers votre système SIR ou PACS.
  • Options définies par l’utilisateur pour une planification complète de l’analyse vasculaire.
  • Outils d’édition des tissus accessible via une barre d’outils flottante sur l’écran sélectionné.

* En comparaison avec la station de travail Extended Brilliance Workspace (EBW) version 4.x de Philips.

Cardiaque

MR Cardiac

Examen cardiaque complet et quantifications pour les examens IRM

L’application MR Cardiac affiche les protocoles d’affichage, une, plusieurs ou toutes les images cardiaques disponibles, y compris la synchronisation des phases cardiaques. Cette première consultation permet aux cliniciens de visualiser rapidement le résultat global de l’examen cardiaque, afin d’identifier la première analyse à effectuer. Une évaluation visuelle peut être effectuée sous forme de Bull’s eye de l’AHA.

Le progiciel permet une analyse volumétrique fonctionnelle complète des ventricules, comme de la fraction d’éjection, de la cinétique pariétale, de l’épaisseur et de l’épaississement. Comprend une fonction de rehaussement spatial basé sur la variation d’intensité en signal, ainsi qu’une fonctionnalité de signets indiquant les données pertinentes, susceptibles d’être sauvegardées ou transférées à d’autres médecins. MR Cardiac permet également une analyse fonctionnelle rapide grâce à la méthode ALEF (Areal Length Ejection Fraction, fraction d’éjection de longueur aréale).

Vignette cardiac

Avantages

  • Marquage des données Cardiac MR pour accélérer l’examen.
  • Établit un lien entre la géométrie et la phase cardiaque pour faciliter l’examen.
  • Outils de segmentation manuelle multiple et semi-automatique de la fonction IRM pour le VG et le VD.
  • Possibilité de voir toutes les coupes de la série petit axe sur un seul écran.
  • Permet d’éditer les données sources et de recalculer les cartes paramétriques par ajustement des courbes en utilisant la méthode des moindres carrés (LSQ).

Cardiac Quantitative Mapping

MR Cardiac Quantitative Mapping

Évaluer les caractérisations tissulaires du myocarde

L’application MR Cardiac Quantitative Mapping vous permet d’évaluer et de consulter les caractérisations tissulaires du myocarde dans différentes tables de consultation de l’intensité de champ définies par l’utilisateur.

miniature cardiac quantitative mapping

Avantages

  • Consulter les pathologies myocardiques globales et diffuses à l’aide des cartes T1, T2 et T2*.
  • Outils de correction des mouvements manuels et automatiques, ce qui peut améliorer les calculs de cartographie.
  • Soutien étendu aux acquisitions : Molli, shMolli, SASHA, T2prep.

Cardiac Temporal Enhancement

MR Cardiac Temporal Enhancement

Identifier les changements d’intensité du signal dans l’IRM cardiaque dynamique

À l’aide de données cardiaques résolues dynamiquement (série multicoupes, images multidynamiques),  MR Cardiac Temporal Enhancement facilite la compréhension du débit sanguin dans le cœur. L’application fournit de nombreux formats de résultats pour l’examen des changements temporels identifiés.

miniature cardiac temporal enhancement

Avantages

  • Options de segmentation et d’édition manuelles afin de segmenter le VG ; corrections affines ou rigides automatisées en option pour compenser le mouvement respiratoire.
  • Comparaison repos-effort intégrée.
  • Plusieurs formats pour les résultats, y compris des graphiques temps-intensité, sous forme de Bull’s eye, diagrammes d’amélioration temporelle, superpositions avec codage couleur de l’imagerie anatomique.

Cardiac Whole Heart

MR Cardiac Whole Heart

Visualisation 3D détaillée du cœur segmenté

L’application MR Cardiac Whole Heart effectue la segmentation automatisée du cœur en segments individuels (par ex. VG, VD, oreillettes, artères coronaires, etc.).

miniature cardiac whole heart

Avantages

  • Les résultats peuvent être présentés dans un rendu 3D de qualité, y compris les formats d’exportation 3D (STL) pour l’impression 3D.
  • Processus de travail “Créer un nouveau segment tissulaire” pour soutenir la segmentation basée sur le principe de “masquage et repère”.
  • Segmentation par repère.
  • Interventions minimales de la part de l’utilisateur grâce à la segmentation 3D améliorée.
  • Fournit un affichage/modèle 3D unique à partir de différentes séries et dynamiques pour faciliter la prise de décision dans des structures hémodynamiques complexes.
  • Préparation et exportation des modèles 3D avec les caractéristiques de lissage, d’opacité et dans le format définis par l’utilisateur et adaptés à l’impression 3D et au logiciel de navigation chirurgicale.

QFlow

MR QFlow

Visualisation et quantification des images dynamiques du débit sanguin

MR QFlow prend en charge la visualisation et la quantification des données de flux. L’application crée des cartographies superposées Doppler couleur 2D sur les références anatomiques, qui peuvent notamment être utilisées pour calculer les volumes d’éjection.

 

QFlow fait désormais également partie de la suite MR Cardiac ; il est donc possible de combiner les rapports avec d’autres outils d’analyse tels que Functional.

MR Q-Flow

Avantages

  • Inclut la détection automatique des contours vasculaires des gros vaisseaux pour l’analyse du débit vasculaire.
  • La correction en tâche de fond permet de rectifier le décalage des données Q-Flow de certains fournisseurs IRM.
  • Intégration de QFlow dans la suite logicielle MR Cardiac.
  • Permet de comparer les résultats de flux de la fonction cardiaque dans UNE seule suite.
  • Génération de rapports combinés Q-Flow et Fonction (et autres analyses).

Astonish Reconstruction

NM Astonish Reconstruction

L’algorithme avancé de reconstruction NM Astonish Reconstruction utilise la technique de double filtrage de Philips pour réduire le bruit et améliorer la résolution et l’homogénéité de l’image reconstruite. Il est par ailleurs possible d’associer une carte d’atténuation TDM à NM Astonish Reconstruction pour bénéficier d’une fonction de correction par atténuation. L’amélioration du rapport signal/bruit assure une qualité d’image équivalente tout en réduisant la durée d’acquisition SPECT, ce qui accroît la productivité, améliore le confort du patient et limite les artefacts de mouvement.

Vignette astonish reconstruction

Avantages

  • Offre plusieurs avantages cliniques, y compris une meilleure résolution d’image et une meilleure efficacité des processus de travail.
  • Permet l’imagerie TI-201, In-111, Ga-67, I-123 ou I-131 et la gammatomographie cardiaque avec un temps d’acquisition réduit de moitié en utilisant les systèmes Philips pris en charge pour améliorer l’efficacité des processus de travail tout en conservant la qualité d’image.
  • Augmente la fiabilité des interprétations et la précision des diagnostics.
  • Applicable à des études SPECT avec Tc-99m pour la plupart des procédures d’imagerie moléculaire.
  • Compatible uniquement avec les caméras Philips suivantes : CardioMD (logiciel d’acquisition version 2.x), Forte, BrightView, BrightView X, BrightView XCT, SkyLight et Precedence.

Cedars-Sinai Cardiac Suite 2015

NM Cedars Sinai Cardiac Suite 2015*

Quantification cardiaque avancée

NM Cedars Sinai Cardiac Suite 2015 intègre des outils complets de quantification cardiaque pour l’imagerie synchronisée de perfusion et de l’amas sanguin par SPECT, ainsi que pour l’imagerie quantitative par TEP. L’application Cedars Sinai Cardiac Suite 2015, bien connue des cliniciens du monde entier, repose sur un processus de travail efficace, qui favorise l’interprétation des examens en intégrant de manière exclusive la perfusion et la fonction myocardique.

miniature cedars sinai cardiac suite 2015

Avantages

  • Quantification VD : délimitation VD automatisée, quantification et analyse.
  • Éditeur de défauts de la carte polaire de perfusion : modification manuelle des cartes polaires par les utilisateurs.
  • Fonction DataView : présentations de visualisation personnalisables par l’utilisateur.
  • Algorithme d’analyse de phase amélioré, Smart Launch et éditeur de palettes de couleurs.

* Produit commercialisé uniquement dans certains pays. Veuillez vérifier la disponibilité dans votre pays.

Corridor4DM 2016

NM Corridor4DM 2016*

Système SPECT/TEP pour la quantification cardiovasculaire, l’analyse et la création de rapports

L’application NM Corridor4DM 2016* est un outil avancé d’affichage et de quantification cardiovasculaire, qui repose sur un processus de travail intelligent et intègre des mesures d’assurance qualité. Il est ainsi possible de quantifier la perfusion, la fonction cardiaque et la viabilité myocardique sur plusieurs écrans d’affichage et de créer des rapports à partir de modèles personnalisables. L’application NM Corridor4DM 2016 inclut également la quantification et l’estimation de la surface du VG, ainsi que des bases de données normales supplémentaires pour la prise en charge de la reconstruction en gammatomographie de l’évolution GEMS.

miniature corridor

Avantages

  • Quantifie, affiche et fournit des rapports dans une seule application configurable pour la perfusion et la fonction du  myocarde par SPECT et TEP, le métabolisme FDG-PET et les études d’amas sanguin par SPECT.
  • Fournit des outils pour générer et examiner des captures d’écran secondaires statiques et à images multiples DICOM.
  • Facile à configurer pour différents processus de travail, protocoles et préférences.
  • Quantification de la réserve coronaire pour le rubidium (Rb-82) et l’ammoniac (N-13).
  • Quantification et estimation de la surface du VG.
  • Outils d’affichage amélioré.
  • Bases de données normales supplémentaires pour la prise en charge de la reconstruction en gammatomographie de l’évolution GEMS.
  • Fournit des outils pour générer et examiner des captures d’écran secondaires statiques et à images multiples DICOM, y compris les mises à jour.

* Corridor4DM est une marque déposée d’Invia, LLC.

Emory Cardiac Toolbox (ECTb) SyncTool

Emory Cardiac Toolbox (ECTb) SyncTool*

Évaluation de l’asynchronisme mécanique

L’application Emory Cardiac Toolbox (ECTb) SyncTool permet d’évaluer objectivement l’asynchronisme du ventricule gauche (VG) au moyen d’une analyse de phase.

Vignette ectb synctool

Avantages

  • Fournit également des informations de pronostic complémentaires à partir d’images de perfusion en 3D, telles que la présence et la localisation du tissu cicatriciel.
  • L’écran de visualisation comprend des cartes polaires et des histogrammes de phase, ainsi qu’une analyse synthétique de l’épaississement pariétal systolique avec phase maximale et écart-type de la distribution.

* Emory Cardiac Toolbox, ECTb, HeartFusion et SyncTool sont des marques déposées de l’université d’Emory.

Emory Cardiac Toolbox (ECTb) HeartFusion

Emory Cardiac Toolbox (ECTb) HeartFusion*

Évaluation de l’anatomie coronarienne fusionnée

L’application Emory Cardiac Toolbox (ECTb) HeartFusion permet de générer une image fusionnée de l’arbre coronaire du patient à partir d’images d’angiographie cardiaque par TDM et d’imageries de perfusion d’IRM.

miniature ectb heartfusion

Avantages

  • Aide à corréler la sténose aux troubles de la perfusion et à identifier ainsi la masse musculaire exposée.

* Emory Cardiac Toolbox, ECTb, HeartFusion et SyncTool sont des marques déposées de l’université d’Emory.

Emory Cardiac Toolbox (ECTb) v4.1

Emory Cardiac Toolbox (ECTb) v4.1*

Analyse cardiaque

Les outils avancés NM Emory Cardiac Toolbox (ECTb) v4.1 d’analyse cardiaque par SPECT et TEP incluent la comparaison des données de perfusion et de viabilité, l’affichage des images 3D avec recouvrements et synchronisation ciné, le calcul des limites normales de produit (correspondance/non-correspondance) et, en option, l’analyse de phase pour la cinétique pariétale et l’évaluation de l’épaississement.

miniature ectb v4.1

Avantages

  • Nouvelle option SmartReport – rapport structuré automatisé dédié à la cardiologie nucléaire.
  • Réorientation transaxiale.
  • Améliorations des performances globales.
  • Analyse de l’asynchronisme systolique amélioré.
  • Analyse de l’asynchronisme diastolique.

* Emory Cardiac Toolbox, ECTb, HeartFusion et SyncTool sont des marques déposées de l’université d’Emory.

Mirada Viewer

NM Mirada Viewer

Expérience utilisateur améliorée pour la lecture d’images MN

Conçu pour relever vos défis cliniques et améliorer la productivité lors de la visualisation d’images TEP/TDM, SPECT, SPECT/TDM et planaires. Processus de travail optimisé pour traiter plusieurs études et quantifier les résultats.

Vignette mirada viewer

Avantages

  • Protocoles rapides et configurables, pour une lecture efficace.
  • Suivi des lésions et réponse au traitement.
  • Graphiques et tableaux exportables.
  • Enregistrement TEP/TDM et TEP/TDM/IRM.
  • Solution indépendante de tout fournisseur.*

* Veuillez contacter votre ingénieur commercial Philips pour plus de détails sur la couverture multifournisseur.

Mode Revue

NM Review

L’application NM Review offre un environnement performant de visualisation et d’analyse des images IM et multimodalités pour l’évaluation clinique des examens planaires IM, SPECT, SPECT/TDM, TEP/TDM et TEP/IRM.

Vignette review

Avantages

  • Icône de sélection de la présentation permettant à l’utilisateur de définir différentes présentations pour plusieurs préréglages. Pour chaque préréglage, l’utilisateur disposera de 4 présentations différentes.
  • Affichage des images volumiques MPR, MIP et 3D fusionnées.
  • Option de défilement continu.
  • Mesures SUV 2D et 3D : poids corporel SUV, masse maigre SUV, surface corporelle SUV et indice de masse corporelle SUV.
  • Segmentation 3D automatisée des lésions à partir de la valeur SUV ou de la valeur SUV maximale en pourcentage, et possibilité d’exporter des contours 3D au format DICOM-RT Structure.
  • Set vers des systèmes de planification de radiothérapie.

Q-App General Imaging 3D Quantification

US Q-App General Imaging 3D Quantification (GI3DQ)

Quantification et visualisation avancées du volume échographique

L’application US Q-App General Imaging 3D Quantification (GI3DQ) permet une visualisation, une manipulation et une quantification avancées des ensembles de données 3D. Elle intègre des fonctions avancées comme l’interrogation de la reconstruction multiplanaire, l’imagerie tomographique iSlice, le rendu volumique, ainsi que les mesures volumétriques utilisant plusieurs méthodes comprenant des outils semi-automatisés. Les résultats générés à partir de cet outil peuvent être joints aux examens des patients pour une documentation exhaustive.

miniature Q-App General Imaging 3D Quantification

Avantages

  • Visualisation avancée, manipulation et analyse de données échographiques 3D.
  • Reconstruction multiplanaire, imagerie tomographique iSlice et fonctions de rendu avancé.
  • Mesures volumétriques et 2D faciles à générer grâce à des outils d’analyse semi-automatisés.
  • Compatible avec l’ensemble des données 3D des systèmes Philips EPIQ, Affiniti, iU22, HD15, HD11 et HD9.

Viewing (in MMV)

XA Viewing (in MMV)

Outil d’examen complet pour les multimodalités, le tout dans un environnement unique

Le Multi Modality Viewer (MMV) prend désormais en charge la visualisation et le post-traitement des images et des séries d’angiographie. L’examen et l’analyse de l’imagerie angiographique, ainsi que d’autres modalités d’imagerie, permettent un examen complet du dossier patient. Traitement vasculaire des images (angiographie par soustraction numérique) – soustraction, recalages de pixels et repérages. Inclut des images clés dans le rapport générique MMV. Avant l’intervention, les données diagnostiques pertinentes (IRM ou TDM) peuvent être mises en signet et récupérées automatiquement lors de la sélection des patients dans Allura ou les suites Azurion.

visualisation xa

Avantages

  • Offre une vue d’ensemble complète du dossier patient pour toutes les modalités d’imagerie –  TDM/IRM/MN/Radiothérapie/Angio – dans un environnement unique.
  • Visualisation avancée et post-traitement (ASN) des images et séries d’angiographie.
  • Annotation et mesures de base sur les images (à condition que l’image soit précalibrée).
  • Récupération automatique des données diagnostiques pertinentes (TDM et/ou IRM) pour faciliter l’intervention à l’aide d’iBookmark.
  • Création de rapport prise en charge ; les images clés peuvent être envoyées sous la forme d’un rapport générique MMV.

*

Informations de contact

* Champ requis

*
*
*
*
*
*
*
*
*

En spécifiant la raison pour laquelle vous souhaitez être contacté, nous pourrons vous fournir un meilleur service.

We work with partners and distributors who may contact you about this Philips product on our behalf.

*
*

Final CEE consent

You are about to visit a Philips global content page

Continue

You are about to visit a Philips global content page

Continue

Notre site s'affiche mieux sur la dernière version d'Microsoft Edge, Google Chrome ou Firefox.

Êtes-vous un professionnel de santé ?
Veuillez cocher la case

Remarque :

Les informations présentes sur ce site Internet sont destinées à des professionnels de santé.