L’intelligence anatomique appliquée à l’échographie utilise la modélisation avancée des organes, la fonction de découpe des images et des outils de quantification éprouvés. Les examens sont ainsi plus faciles à réaliser, davantage reproductibles et plus riches en informations, ce qui permet de relever les défis cliniques et économiques des environnements médicaux actuels. L’intelligence anatomique est utilisée dans les solutions d’imagerie Philips telles qu’EchoNavigator, EP navigator et HeartNavigator. Aujourd’hui, elle fournit déjà aux cliniciens des outils de traitement sophistiqués mais faciles à utiliser. En outre, elle leur permet d’identifier rapidement et plus précisément une anatomie et des anomalies, d’évaluer le stade des maladies, de décider du traitement et de guider les interventions.
L’intelligence anatomique étudie les données échographiques d’un patient et applique une intelligence adaptative du système à l’aide de modèles anatomiques en 3D, pour obtenir plus facilement des résultats davantage reproductibles.
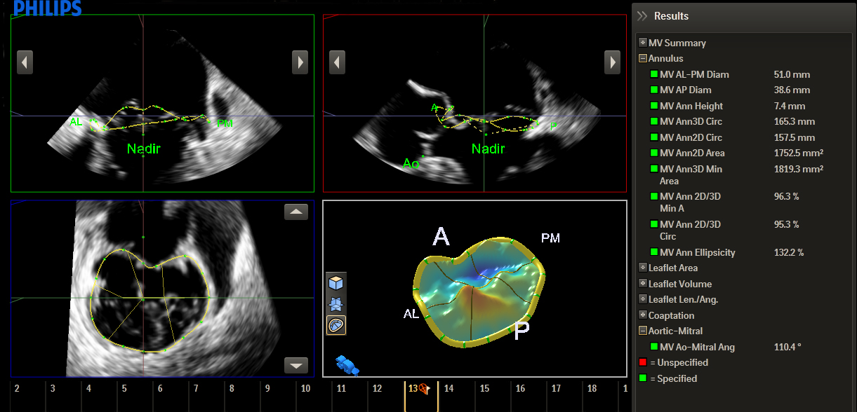
Découvrez HeartModelᴬ⋅ᴵ⋅, une nouvelle application d’intelligence anatomique appliquée à l’échographie (AIUS) intégrant les fonctionnalités suivantes pour l’échocardiographie : quantification 3D temps réel, affichages 2D automatisés et reproductibilité performante. HeartModelᴬ⋅ᴵ⋅ détecte, segmente et quantifie automatiquement l’oreillette gauche et le ventricule gauche à partir d’un volume 3D.
Cette étude a comparé la quantification entre la 2D et HeartModelᴬ⋅ᴵ⋅ 3D temps réel : HeartModelᴬ⋅ᴵ⋅ offre un gain de temps de 82 % lors de l’utilisation de la fonctionnalité d’automatisation et de 63 % lorsque des modifications mineures sont nécessaires.

Une augmentation de la reproductibilité en moins d’étapes et moins de temps que les méthodes classiques peut augmenter la fiabilité du diagnostic pour davantage d’utilisateurs.





Le système Philips EPIQ et IE33 sont des dispositifs médicaux de classe IIa, fabriqué par Philips et dont l’évaluation de la conformité a été réalisée par l’organisme notifié BSI CE2797. Ils sont destinés au diagnostic médical par imagerie ultrasonore. Les actes diagnostiques sont pris en charge par les organismes d’assurance maladie dans certaines situations. Lisez attentivement la notice d’utilisation. Avril 2022. L’application HeartModel est un dispositif médical de classe I fabriqué par Philips. Il est destiné à la quantification et l’analyse des données d’images et au diagnostic médical. Les actes diagnostiques sont pris en charge par les organismes d’assurance maladie dans certaines situations. Lisez attentivement la notice d'utilisation. Avril 2022. Echonavigator est un dispositif de classe IIa, fabriqué par Philips et dont l'évaluation de la conformité a été réalisée par l'organisme notifié DEKRA Certification BV 0344. Il est destiné à la visualisation, l’analyse et au diagnostic médical par imagerie. Les actes diagnostiques sont pris en charge par les organismes d’assurance maladie dans certaines situations. Lisez attentivement le manuel d’utilisation. Avril 2022. La salle interventionnelle AlluraXper est un dispositif médical de classe IIb, fabriqué par Philips Healthcare et dont l’évaluation de la conformité a été réalisée par les organismes DekraCertification BV 0344. Elle est destinée au traitement de maladies cardiovasculaires. La salle interventionnelle en environnement bloc est prise en charge par les organismes d’assurance maladie dans certaines situations. Lisez attentivement la notice d’utilisation ou l’étiquetage. Avril 2022.
You are about to visit a Philips global content page
Continue