Comment le spectral transforme

    Comment IQon Spectral CT transforme la prise en charge ?

    "La technologie spectrale nous permet de proposer une prise en charge de qualité pour nos patients ardennais."

    Docteur Philippe Cart

    Centre Hospitalier Charleville-Mézières

    Découvrez l’intervention du Docteur Cart lors du symposium Philips lors des JFR 2019

    L'imagerie spectrale pour optimiser la prise en charge aux urgences
    Une confiance diagnostique accrue

    Une confiance diagnostique accrue et une meilleure détection


    IQon Spectral CT, le scanner 100% spectral, bouleverse l’imagerie standard en proposant systématiquement deux imageries, conventionnelle et spectrale pour tout examen quel que soit le type de patient (de la pédiatrie à la bariatrie). Rapide et simple d’utilisation, cette imagerie est utilisée en routine par nos clients et s’interprète comme pour l’IRM par comparaison de différentes cartographies.
     

    Le saviez-vous ?
     

    L’interprétation des données spectrales renforce la confiance diagnostique et diminue le nombre d’examens complémentaires pour un grand nombre de pathologies.1

    Acquisition rapide et intuitive

    Acquisition rapide et intuitive


    Le Statif AirGlide sur coussins d’air iQon Spectral CT avec une vitesse de rotation à 0,27s réalise des acquisitions extrêmement rapides. L’interface graphique iPatient permet d'exécuter facilement les acquisitions d’images et permet une analyse rapide des résultats.

    L’intelligence artificielle pour délivrer la juste dose adaptée à chaque patient


    La reconnaissance automatique des organes basée sur le mode Surview permet de définir les paramètres d’acquisition pour chaque examen et d’optimiser la dose de rayonnement RX sans compromis que la qualité d’image.

    Apporter du confort au patient

    Apporter du confort au patient et réduire son stress pendant l’examen


    Le nouveau matelas mousse viscoélastique offre un positionnement confortable du patient et prévient la fatigue pour les patients. Il offre également au personnel soignant un sentiment de sécurité : kit de contention du patient, rallonge de table, têtière standard, matelas de table, repose-bras, coussins et cales (genoux, nuque…).
    Découvrez Ambient Experience, des solutions de projections et de sonorisation à la carte pour permettre de diminuer le stress des patients pendant l’examen.

    Inclure un plus grand nombre de patients

    Inclure un plus grand nombre de patients


    L’interprétation des données spectrales de façon rétrospective permet la mise en évidence d’un plus large champ de pathologies et une diminution significative de produit de contraste injecté en routine pour tous les patients. IQon Spectral CT est une modalité qui adresse toutes les spécialités ce qui améliore la pertinence clinique et raccourci significativement le parcours patient2.

    Maximizer

    Maximizer : avance clinique et contrôle des coûts


    Le programme d’évolution continue Technologie Maximizer est une offre de service additionnel au contrat de maintenance qui participe à l’optimisation des capacités cliniques et des performances de l’équipement avec un programme de mise à jour software afin de maintenir le système au niveau de l’état de l’art 7 ans après l’installation.

    Diminuer le volume de produit

    Diminuer le volume de produit de contraste injecté


    L’interprétation systématique pour tous les patients des données spectrales MonoE bas 40Kev (pic d’énergie de l’iode) permet un rehaussement des lésions vasculaires à très faible concentration d’iode. En moyenne nos utilisateurs constatent une diminution significative des quantités de produit de contraste injecté de l’ordre de 30%. *.

    *Revue Double Couche #6

    Maximizer
    Maximizer

    Financer votre IQon avec Philips Medical Capital

     

    Le meilleur de la technologie en louant votre IQon

     

    Accédez à l’IQon tout en optimisant votre trésorerie avec des options de location personnalisées. Idéal si vous voulez la technologie la plus récente et la flexibilité de paiement.

     

    Pourquoi choisir de louer son IQon avec Philips Medical Capital ?

     

    Personne ne peut prédire l'avenir, il est donc agréable de savoir que vous disposez d’un choix d'options à la fin de votre location. Vous pouvez acheter l'équipement et continuer à l'utiliser. Ou le restituer à Philips et le renouveler avec une technologie plus récente et plus innovante. Cela vous permet d'améliorer en toute confiance vos soins aux patients avec une technologie de santé de haute qualité et performante tout en optimisant les coûts opérationnels et votre efficacité*.

     

    Un plan de paiement linéaire vous permet d’avoir des prévisions de coûts prévisibles et une gestion budgétaire optimale*.

     

    Un plan de paiement différé vous offre un délai prédéfini pour redémarrer votre activité, afin que vous puissiez utiliser les revenus des patients générés par votre nouvel IQon pour effectuer des remboursements*.

     

    *Sous réserve d’un accord crédit de Philips Medical Capital

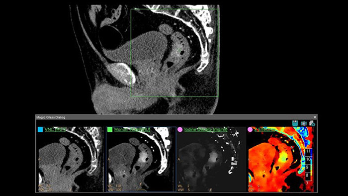
    Les différentes cartographies spectrales les plus utilisées en routine

    IQon Spectral CT est une nouvelle modalité scanner qui propose systématiquement plusieurs images conventionnelles et spectrales pour tout diagnostic. En routine, les cartes spectrales s’interprètent comme pour l’IRM par comparaison des différentes cartographies juxtaposées. Elles peuvent aussi être fusionnées les unes aux autres.

    Les différentes cartographies

    CT Conventionnel

    IQon Spectral CT

    • Le mode mono énergie ou les cartes MonoE virtuelles (en unités Hounsfield) simulent un faisceau à RX monochromatique de 40 à 200 keV où l’utilisateur pourra faire varier l’énergie de 40 à 200 keV à l’aide d’un simple curseur sur l’image. La carte basse énergie de 40 KeV rehausse le contraste tissulaire ou iodé (l’atténuation maximale de l’iode est à 33 keV) et peut être utile dans le dépistage des lésions hyper vasculaires. Ce mode permet de diminuer les volumes de contraste injecté pour tout examen artériel, par exemple de 20 à 30cc pour une aorte abdominale standard ou un TAVI)*.

    • La carte de densité d’Iode est une carte où le bruit a été soustrait, qui met en évidence le signal de l’iode uniquement. Elle est très souvent utilisée en comparaison de la Carte MonoE à 40 keV et permet de d’évaluer l’absorption du produit de contraste par les tissus avec la possibilité de mesurer des concentrations d’iode via un ROI.

    • La Carte VNC ou « virtuel sans contraste » permet de diminuer la dose en supprimant la série sans injection. Les informations sans contraste sont extraites de la série injectée en supprimant la carte de l’iode.

    • La carte d’imagerie paramétrique Z-Effectif reflète le numéro atomique moyen (de chaque pixel) et peut indiquer par exemple des zones graisseuses au sein des tissus.

    • La Carte CaSupp, ou Calcium Suppression est image virtuelle sans calcium proche de celle de l’IRM pour aider à évaluer et détecter les lésions ostéoarticulaires. (Optionnelle)

    • La carte d’Acide Urique peut mettre en évidence la présence d’acide urique au niveau des articulations.

    • La Carte Densité Electronique reflète l’effet Compton diffusé par les tissus et est utilisée pour rehausser le contraste des structures notamment sur les séries non injectées. (Optionnelle)

    Les ateliers virtuels du Scanner Spectral


    Les ateliers virtuels du Scanner Spectral se sont déroulés le 23 juin 2020 avec la participation des HCL et du GHT Nord Ardennes. Des contenus cliniques et un format d’atelier plébiscité par nos clients ! Découvrez-les vite en vidéo.

    Imagerie

    Les bases du scanner spectral

    Philippe Coulon, Directeur Scientifique Philips

    Imagerie

    Les différentes cartes spectrales Philips

    Pr Loïc Boussel, HCL Lyon

    Imagerie

    Comment modifier mes protocoles avec Philips IQon Spectral CT
    Dr Philippe Cart, GHT Nord Ardennes

    Imagerie

    L'imagerie spectrale Philips en urgence et en oncologie 

    Dr Philippe Cart, GHT Nord Ardennes

    Imagerie

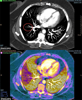
    Intérêt du spectral Philips pour l'imagerie thoracique

    Dr Salim Si Mohammed, HCL Lyon

    Imagerie

    Intérêt du spectral Philips en imagerie musculo-squelettique

    Dr Stéphane Grisjeels GHT Nord Ardennes

    Imagerie

    Intérêt du spectral Philips pour l'imagerie cardio-vasculaire

    Pr Philippe Douek, HCL Lyon

    Webinaire

    Imagerie spectrale : un nouvel atout dans la prise en charge COVID.

    Découvrez dans ce webinaire avec Dr Béatrice Daoud de l'Hôpital Privé d'Antony, comment utiliser l'imagerie spectrale et notamment la cartographie de densité d'électrons pour l'évaluation des cas COVID.

    Double Couche, la revue de l’IQon

    Découvrez le magazine Double Couche, le magazine dédié de l’imagerie spectrale. Dans cette revue, les utilisateurs de l’IQon Spectral CT témoignent sur les impacts de cette nouvelle technologie en termes de confiance et de pertinence diagnostiques, d’avancées cliniques, d’organisation des services, d’économies générées…

    Un cas, deux approches

    Pour illustrer les performances du scanner spectral IQon, deux patients aléatoires avec des profils de santé similaires, tous deux souffrant de douleurs abdominales ont passé un examen TDM : le premier sur un scanner conventionnel tandis que le second a été soumis à l’IQon spectral CT. Le processus est le même pour les deux patients, et le processus de travail est presque identique pour le personnel hospitalier.

    Nous souhaitons répondre au mieux à vos attentes

    Dites-nous comment vous aider

    1
    Sélectionnez votre centre d'intérêt
    2
    Détails du contact

    1Etude basée sur 19 clients IQon Spectral CT techvalidate.com/tvid/15C-0C2-709

    2Par exemple, l’établissement Hennepin County Medical Center a constaté une diminution de 30 à 40% des examens de suivi avec d'autres modalités depuis l'utilisation du scanner IQon Spectral CT

    Les scanners iQon Spectral CT et Spectral CT7500 sont des dispositifs médicaux de classe IIb fabriqués par Philips et dont l’évaluation de la conformité a été réalisé par l’organisme notifié TUV Rheinland CE0197. Ils sont destinés au diagnostic médical par imagerie tomodensitométrique. Les actes diagnostiques sont pris en charge par les organismes d’assurance maladie dans certaines situations. Lisez attentivement la notice d’utilisation. Novembre 2021

    You are about to visit a Philips global content page

    Continue

    You are about to visit a Philips global content page

    Continue

    Notre site s'affiche mieux sur la dernière version d'Microsoft Edge, Google Chrome ou Firefox.

    Êtes-vous un professionnel de santé ?
    Veuillez cocher la case

    Remarque :

    Les informations présentes sur ce site Internet sont destinées à des professionnels de santé.