Inscrivez-vous dès maintenant pour recevoir les dernières mises à jour de l’agenda et garder un oeil sur les nouveautés en radiologie
Participez à une session captivante qui explore comment l'IA révolutionne la radiologie : de l'amélioration de l'acquisition d'images aux visualisations avancées et interprétations assistées par IA, jusqu'aux comptes rendus intelligents.
Écoutez directement des responsables Philips et des radiologues experts de renom partager les dernières avancées et des perspectives concrètes qui façonnent l'avenir de l'imagerie.
Assistez à nos sessions d’acquisition IRM en direct pour une démonstration exclusive dans notre camion BlueSeal Mobile. Découvrez une précision ultime à vitesse maximale grâce à l’acquisition IRM en direct activée par l'IA, directement sur notre stand ! Nous présenterons une série d’acquisitions Dual AI sur des anatomies clés : cœur, prostate et cerveau.
Découvrez comment nous redéfinissons le scanner spectral et l'IRM presque sans hélium grâce à des innovations alimentées par l'IA, pour améliorer le diagnostic, simplifier les flux de travail et concrétiser notre engagement : offrir de meilleurs soins au plus grand nombre.
Nous avons pour mission d'améliorer la vie de 2 milliards de personnes par an d'ici à 2030. Vous joindrez-vous à nous ?
Rencontrez nos experts à l'occasion des JFR pour savoir comment nous pouvons vous donner les moyens de surmonter les cas complexes et les obstacles du workflow pour améliorer la prise en charge, la reproductibilité et la productivité, tout en agissant de manière responsable envers notre planète et en réduisant l'impact de nos opérations sur l'environnement.
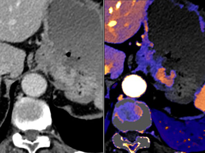
Conscients de l'importance de la confiance que vous accordez à vos diagnostics, nous développons des solutions pour vous aider à obtenir des résultats précis, dans le but unique d'offrir à vos patients la meilleure prise en charge.

Le pouvoir de la tomodensitométrie à détection spectrale au profit de la confiance diagnostique, toutes spécialités confondues.

Philips SmartSpeed, une technologie basée sur l'IA capable d'augmenter la résolution sans prolonger le temps d'acquisition.
Le nombre croissant de patients en imagerie impose un recours à des processus hautement efficaces. Quelles que soient les modalités de diagnostic, les processus de travail intelligents basés ur l'IA peuvent aider les manipulateurs et les radiologues en leur offrant une plus grande efficacité et une plus grande fiabilité clinique afin qu'ils puissent se concentrer davantage sur les patients et moins sur la technologie.

Gérer les workflows complexes dans le but d'être le plus efficace possible, en étant accompagné par un partenaire unique capable d'intégrer l'imagerie clinique et la création de rapports dans une seule solution à l'échelle de l'établissement.

L'IA à chaque étape, avec CT SmartWorkflow, permet des examens à basse dose et un flux de travail amélioré pour des réusltats rapides et pertinents avec une très haute qualité image², pour tous vos patients.
Certains protocoles et examens complexes nécessitent une expertise particulière ou un deuxième avis. Mais ces expertises ne sont pas toujours disponibles quand vous en avez besoin (examen de nuit ou très spécifique, effectif restreint...).
Les stratégies d'engagement des patients de Philips dans le domaine de la radiologie permettent aux patients d'être plus détendus et coopératifs. La gestion des patients aide votre équipe à obtenir une image correcte dès la première fois. Voyez comment.
Cliquez ici pour en savoir plusLes processus de travail intelligents de Philips pour l’acquisition d’images en radiologie aident les manipulateurs en radiologie à optimiser le processus de travail afin qu’ils puissent se concentrer sur le patient. Découvrez comment.
Cliquez ici pour en savoir plusEt si les radiologues pouvaient organiser, consulter et analyser des examens d’imagerie, puis créer des rapports, à partir d’un seul espace de travail ?
Cliquez ici pour en savoir plus Examinez de plus près les solutions qui aident les services de radiologie à relever avec succès les défis du flux de travail.
Besoin de collaboration à distance, de télé-expertise, d’optimisations de vos flux de travail, d’aide pour optimiser la prise en charge de vos patients et améliorer leur expérience ainsi que celle de vos équipes ? Découvrez toutes nos propositions pour l'optimisation des workflows en radiologie.





Anne-Lise Soleil
Directrice des Relations Publiques et de la Communication
Philips France
Tel +33 (0)7 89 42 68 65
anne-lise.soleil@philips.com
1flux de travail
You are about to visit a Philips global content page
Continue