







Découvrez les expériences des premiers utilisateurs du système Ingenia Prodiva 1.5T et la manière dont le système a fait évoluer leur centre d’imagerie.


Augmentez votre capacité de traitement à l’aide d’un processus de travail Breeze simplifié.

Un processus de travail révolutionnaire qui offre rapidité et productivité

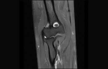
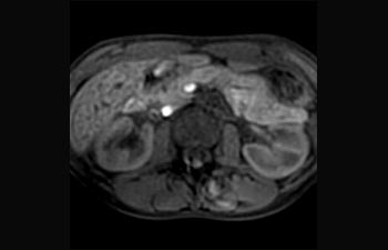
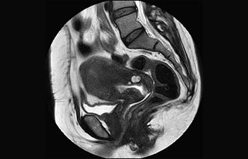
Précision et rapidité, à chaque examen

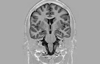
Diagnostic plus fiable en neuro-oncologie

Trouvez les applications cliniques adaptées à vos besoins.

Voir toutes les antennes Ingenia Prodiva 1.5T
1 Selon une étude interne comparant le processus de travail avec le système IRM Achieva 2 ComforTone sera disponible sur le système Prodiva 1.5T au quatrième trimestre 2017 3 Selon une étude interne comparant le processus de travail pour différents examens cérébraux, du rachis, ostéo-articulaires et corporels avec le système IRM Achieva 4 Le fonctionnement normal se définit comme une acquisition classique réalisée sans coupure d’électricité ou du système de refroidissement de l’aimant, en dehors des actions de maintenance 5 Selon le contrat et la disponibilité dans votre région 6 Se réfèrent aux systèmes 1.5T de 60 cm pour une IRM du corps entier
L'IRM Philips Prodiva 1.5T CX
est un dispositif médical de classe IIa, fabriqué par Philips et dont l’évaluation de la conformité a été réalisée par l’organisme notifié TÜV SÜD 0123. Il est destiné au diagnostic de différentes affections. Les actes effectués avec l'RM Philips Prodiva 1.5T CX sont pris en charge par les organismes d’assurance maladie dans certaines situations. Lisez attentivement le manuel d’utilisation. Septembre 2018
You are about to visit a Philips global content page
Continue