Pour permettre aux équipes chirurgicales de se concentrer sur le traitement des patients, nous veillons à ce que le guidage avancé par imagerie soit aussi simple et efficace que possible. La flexibilité unique du système vous permet de travailler selon vos préférences grâce à un positionnement libre en tête de lit. Nos outils en neurochirurgie vous offrent un contrôle parfait à chaque étape de l’intervention, à mesure que vous décidez, guidez, traitez et confirmez les résultats.
La solution d’imagerie interventionnelle Philips enrichit la suite neurovasculaire d’une gamme flexible de technologies, de services et d’accessoires neurologiques intégrés qui vous permettent de garder un contrôle total.
Cliquez ici pour en savoir plus
En neurochirurgie, nous avons pour but de voir clairement tout en assurant la sécurité de toutes les personnes impliquées. Le système de radiologie biplan Azurion 7, leader sur le marché, vise à améliorer la capacité de traitement, outre l’efficacité du guidage à chaque intervention. La conception parfaite du capteur FD20/15 permet de positionner le capteur de 15” près de la tête du patient et de couvrir la tête, du crâne à la région cervicale. Contrôlez facilement toutes les applications pertinentes à partir d’un seul écran tactile depuis la table, afin de prendre des décisions rapides et éclairées dans l’environnement stérile.

La solution SmartCT Soft Tissue offre une technique d’acquisition CBCT (Cone Beam CT) complétée par un guidage pas à pas. Les outils avancés de visualisation et de mesure 3D sont tous accessibles sur le module à écran tactile, depuis la table. Pour vous aider dans le processus d’acquisition des images CBCT dès la première fois1 et pour rationaliser votre flux de travail, vous êtes guidé à travers les étapes clés.

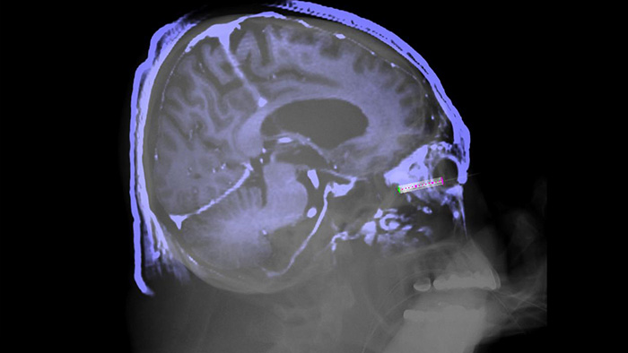
Le système XperGuide offre un guidage de l’aiguille sur les images en 3D et en temps réel, ce qui vous permet de réaliser des procédures percutanées nécessitant l’utilisation d’une aiguille en salle hybride. Il superpose les images de fluoroscopie en temps réel aux données 3D issues de l’imagerie des tissus mous des acquisitions TDM ou IRM ou de Philips XperCT précédentes, et fournit des informations sur la trajectoire et la cible de l’aiguille.

AneurysmFlow est conçu pour fournir des informations pertinentes avant et après le déploiement du déviateur de flux. Il visualise et quantifie les changements de flux pour une plus grande confiance dans l’efficacité de la procédure.
Avez-vous besoin d’une imagerie dans une salle d’opération ordinaire ? Grâce aux solutions d’arceau mobile Philips, vous pouvez obtenir rapidement et facilement des images nettes et détaillées, afin de prendre des décisions éclairées dans le cadre d’interventions orthopédiques, de la prise en charge de la douleur, d’interventions vasculaires et d’autres interventions chirurgicales en salle d’opération.
Limites de responsabilité La disponibilité des produits est soumise à des autorisations réglementaires nationales. Veuillez contacter votre représentant commercial local pour vérifier la disponibilité dans votre pays.
Références
1 Le niveau d’expertise requis pour l’utilisateur est décrit dans le manuel d’utilisation, dans le profil de l’opérateur prévu 2 Les reconstructions 3D peuvent prendre plus de temps avec des paramètres de résolution supérieure.
You are about to visit a Philips global content page
Continue