Notre suite dédiée au vasculaire offre des options de processus de travail, des outils interventionnels dédiés et une large sélection de dispositifs vasculaires avancés pour améliorer l’efficacité des procédures et redéfinir les résultats pour vos patients atteints d’une maladie aortique. Elles soutiennent chaque étape de votre procédure, à mesure que vous décidez, guidez, traitez et confirmez les résultats du traitement.

Une visualisation réaliste du système vasculaire artériel est requise pour pouvoir accéder efficacement au système artériel. Notre système d’échographie CX50 intégré fournit des images de haute qualité des vaisseaux et de l’artère radiale afin de permettre des interventions d’accès radiales.
Après un mois d’utilisation, nous avons dépassé le point où la valeur clinique de VesselNavigator l’emporte sur l’investissement que nous avons réalisé.”
Prof. Dr F. Vermassen
University Hospital Ghent

Il ne s’agit là que d’une des nombreuses améliorations réalisées par le service vasculaire interventionnel de l’Hôpital St. Antonius en matière de performances en salle après l’installation du système Azurion. La première étude Azurion portant sur les performances en salle a révélé de très bons résultats, vérifiés par un tiers indépendant.

La solution Azurion de Philips a permis de percer dans l’amélioration des processus et ainsi d’obtenir des résultats prouvés en matière d’efficacité. Face au nombre croissant de patients atteints de maladies aortiques, Azurion offre un certain nombre d’innovations au niveau des processus de travail ayant pour but d’aider les équipes des services vasculaires à travailler de façon efficace et cohérente tout en restant focalisées exclusivement sur le patient et tout en gérant la dose de rayonnement pendant les interventions.

L’échographie intravasculaire est une technologie d’imagerie par cathéter qui permet aux médecins de visualiser les vaisseaux sanguins de l’intérieur pour faciliter l’évaluation de la présence et de l’étendue de la maladie. Elle facilite la prise de décision, le guidage et la confirmation du traitement interventionnel convenant à chaque patient.

Images de haute définition de vaisseaux avec une vascularité très détaillée pour prendre en charge des stratégies de traitement, une navigation et un suivi de la plus grande précision.
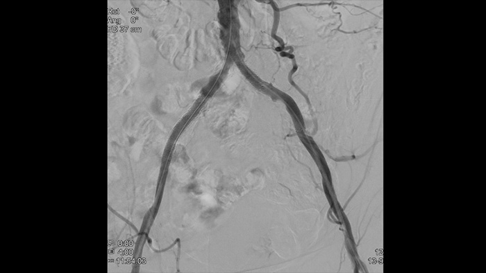
Solutions pour les interventions artérielles périphériques proposées par l’imagerie interventionnelle Philips.
Cliquez ici pour en savoir plus Références bibliographiques 1. Tacher V, et al. Image guidance for endovascular repair of complex aortic aneurysms: comparison of two-dimensional and three-dimensional angiography and image fusion. J Vasc Interv Radiol. 2013 Nov;24(11):1698-706. doi: 10.1016/j.jvir.2013.07.016. 2. Sailer AM, et al. CTA with fluoroscopy image fusion guidance in endovascular complex aortic aneurysm repair. Eur J Vasc Endovasc Surg. 2014 Apr;47(4):349-56. doi: 10.1016/j.ejvs.2013. 3. Les résultats sont propres à leur établissement d’obtention et peuvent différer des résultats réalisables dans d’autres établissements.
You are about to visit a Philips global content page
Continue