
Les maladies du foie constituent un enjeu de santé publique majeur.
A l'échelle mondiale, elles sont responsables de près de 2 millions de décès par an, dont environ 1 million par cirrhose et 1 million par hépatite virale et carcinome hépatocellulaire. Des modes de vie en cause à l'instar de l'obésité, de la consommation d'alcool ou de drogues. Dans la plupart des cas, les maladies du foie pourraient être évitées1.
Pendant des décennies, la biopsie du foie a été la méthode conventionnelle d'évaluation de la maladie. Plus récemment, la fraction lipidique de densité protonique par RM (MR-PDFF) a été ajoutée pour mesurer la graisse du foie. Cette méthode présente toutefois plusieurs obstacles pour les patients, notamment la douleur de la biopsie, l'accès à l'imagerie par RM, le coût élevé et les longs délais d'attente.
Grâce aux innovations apportées aux systèmes d'échographie Philips EPIQ et Affiniti, il existe désormais une solution complète pour l'évaluation, le traitement et le suivi des maladies du foie, avec quatre caractéristiques clés réunies en un seul outil efficace.

avec les outils LFQ Liver Fat Quantification
(Quantification de la Graisse Hépatique)

avec ElastQ imaging.*

durant le scanning avec la sonde C5-1 comparé à une sonde conventionnelle.**
* La visualisation côte-à-côte des cartes de confiance et de rigidité d'imagerie permet de réduire le nombre d'étape du proces et de corréler simultanément les cartes pendant l'acquisition.
** Par rapport à des sondes conventionnelles.
"Cette technologie pourrait être utile pour le dépistage des maladies chroniques du foie à un stade avancé, surtout si l'on considère qu'une étude complète peut être réalisée en moins de trois minutes grâce à une méthode non invasive pour les maladies chroniques du foie.”
Richard G. Barr, MD, PhD
President, Radiology Consultant, Inc. (Youngstown, Ohio) Medical Director, Southwoods Imaging
Augmentez la confiance dans le diagnostic des maladies hépatiques avec les dernières avancées générales de Philips en matière d’échographie d’imagerie.

Les normes actuelles pour le diagnostic et la mesure de la stéatose hépatique non alcoolique (NAFLD) – biopsie hépatique et IRM – ne sont pas pratiques pour diverses raisons. La technique émergente de l’imagerie par atténuation par ultrasons pourrait être utile dans le dépistage de la NAFLD. Un médecin de premier plan explique comment.
Maintenant qu’il existe un moyen quantitatif de mesurer la graisse du foie, il nous sera beaucoup plus facile de laisser le médecin traitant déterminer où se trouve quantitativement le patient sur le spectre de la NAFLD.”
Dr. Richard G. Barr, Southwoods Imaging,
Youngstown, Ohio Etats-Unis
Fortement lié à l'obésité, on estime que la stéatose hépatique non alcoolique affecte jusqu'à un milliard de personnes dans le monde. En savoir plus sur la quantification de la graisse hépatique (LFQ) dans ce livre blanc Philips.
Fournir des soins de qualité avec la solution d’échographie ultime pour l’évaluation du foie. Découvrez le témoignage du Professeur Jean-Michel Correas de l'hôpital Necker, APHP
Parlez, échangez des messages, partagez votre écran et diffusez des vidéos rapidement et en toute sécurité depuis un échographe vers un PC ou un appareil mobile, pour permettre à six membres de l’équipe de soins de collaborer.

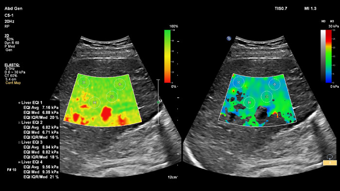
ElastQ fournit une évaluation en temps réel de la rigidité des tissus par ondes de cisaillement 2D (2D-SWE) qui est non invasive, reproductible et facile à réaliser. ElastQ offre également la possibilité d'effectuer des mesures rétrospectives sur des images stockées et comprend une carte de confiance pour un affichage précis de la propagation des ondes de cisaillement.
ElastPQ est une méthode d'ondes de cisaillement ponctuelles (pSWE) permettant d'obtenir des valeurs de rigidité des tissus du foie. En utilisant l'imagerie en temps réel comme guide, le ROI est placé sur la zone d'intérêt et les données de rigidité des tissus sont acquises en quelques secondes. Plusieurs échantillons peuvent être enregistrés et générés dans un rapport sur le foie.
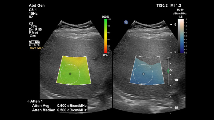
L'imagerie d'atténuation permet de mesurer la quantité de graisse présente dans le foie en calculant le coefficient d'atténuation du son absorbé par le parenchyme hépatique. Cette méthode fournit des paramètres d'atténuation quantitatifs qui peuvent vous aider à gérer les patients atteints de stéatose hépatique.
La technologie d'imagerie IHR compare la luminosité relative du parenchyme hépatique à celle du rein et fournit des informations rapides et quantifiables sur la stéatose hépatique.
Imagerie d'atténuation

Imagerie avec ElastQ


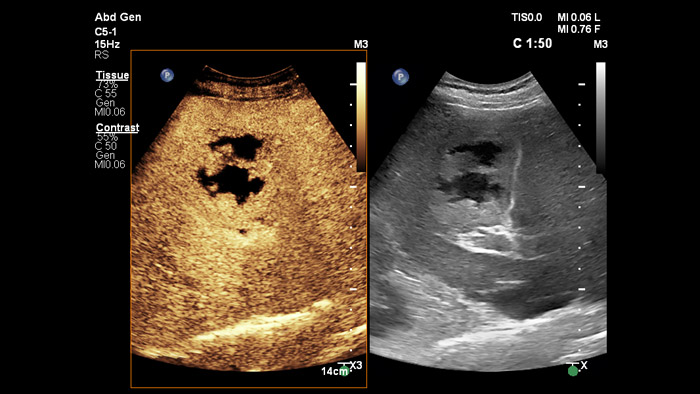
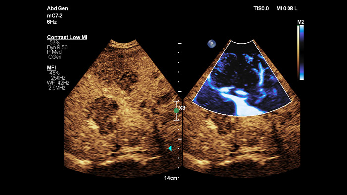
Les agents de contraste échographiques peuvent transformer le rôle de l'échographie dans l'évaluation du foie en permettant d'étudier les schémas de rehaussement des lésions hépatiques suspectes en temps réel pour un diagnostic plus rapide et plus sûr.




Prenez des décisions en toute confiance, même dans les cas de diagnostic difficiles, en vous appuyant sur notre outil de fusion d'images et de navigation par aiguille. Le flux de travail rationalisé vous permet de réaliser une fusion rapide et efficace des modalités CT/MR/PET avec l'échographie en temps réel. La navigation avec tracking de l'aiguille offre des facilité de guidage de la biopsie de petites lésions difficiles d'accès2.
Planifiez et ciblez les lésions avec Tumor contour, un outil semi-automatique pour tracer un contour 3D autour d'une structure d'intérêt. Résultat : un guidage amélioré de la procédure dans les cas difficiles où la lésion n'est pas facilement visualisable.



Vous avez besoin d'une excellente résolution des détails, d'une sensibilité Doppler et de performances d'échographie améliorée par contraste (CEUS) ?
La technologie cristalline PureWave est faite pour vous ! Elle représente la plus grande avancée dans le domaine des sondes piézoélectriques depuis 40 ans. Elle est 85 % plus efficace que les matériaux piézoélectriques classiques, ce qui se traduit par des performances exceptionnelles pour toutes les morphologies de patients.
L’échographe Philips EPIQ Elite est conçu pour un niveau de performances cliniques élevé, un processus de travail et des outils d’intelligence avancés pour répondre aux défis des pratiques actuelles les plus exigeantes. La plate-forme EPIQ Elite offre des solutions d’échographie dédiées, avec des outils cliniquement adaptés pour améliorer la fiabilité du diagnostic.
L’échographe Affiniti 70 allie optimisation des processus de travail et performance pour un diagnostic fiable et rapide.
Le choix d’un échographe est un exercice d’équilibre. Vous devez bénéficier rapidement d’informations de diagnostic précises, d’une interface utilisateur simplifiée et intuitive, et d’un accès facile aux fonctionnalités essentielles, sans oublier un design ergonomique et les dernières technologies.




Les systèmes Philips EPIQ et Affiniti sont des dispositifs médicaux de classe IIa fabriqués par Philips et dont l’évaluation de la conformité a été réalisée par l’organisme certifié BSI CE2797. Ils sont destinés au diagnostic médical par imagerie ultrasonore. Les actes diagnostiques sont pris en charge par les organismes d’assurance maladie dans certaines situations. Lisez attentivement la notice d’utilisation. Novembre 2021.
1 Asrani et al, Burden of liver disease in the world. Journal ofhepatology, Vol 70, Issue 1, 2019.)
2 Kim E, Patel RS, Fischman AM, Nowakowski S, Lookstein RA. CT-Guided Liver Biopsy With Electromagnetic Tracking: Results From a Single-Center Prospective Randomized Controlled Trial. AJR 2014; 203:W715–W723)
You are about to visit a Philips global content page
Continue