
L’optimisation du préréglage gynécologie/obstétrique utilise la technique d’imagerie tissulaire harmonique pour la délimitation des zones remplies de liquide et la visualisation détaillée des tissus dans des applications obstétriques et gynécologiques.


Le préréglage pulmonaire est optimisé pour faire apparaître les artéfacts associés aux examens pulmonaires et permet une visualisation simple du glissement pleural au niveau de l’interface pleurale. Les techniques d’imagerie avancée (harmoniques, SonoCT, XRes) sont désactivées dans ce préréglage afin d’améliorer la visualisation de signes tels que “Ligne A” et “Ligne B”.


Le préréglage abdominal est optimisé pour permettre une pénétration efficace et une imagerie abdominale polyvalente. L’optimisation du Doppler couleur au niveau abdominal est conçue pour faire apparaître les flux rapides dans les artères abdominales et les flux lents dans des organes tels que les reins.


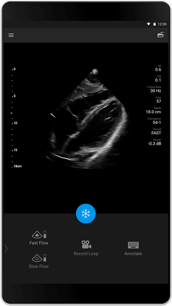
Le préréglage FAST est spécialement optimisé pour l’évaluation ciblée avec l’échographie traumatique. Il permet une pénétration performante et une meilleure visualisation du liquide dans l’abdomen pour des résultats fiables et rapides.


Le préréglage échographique est optimisé pour fournir des images cardiaques de qualité avec une pénétration performante pour les patients techniquement difficiles, et quelle que soit la corpulence du patient. L’imagerie tissulaire harmonique permet de visualiser de manière précise les cavités remplies de sang, ainsi que les structures des tissus du cœur. Le Doppler couleur est optimisé pour les débits élevés pour une visualisation rapide de la fonction cardiaque.

En cliquant sur le lien, vous quitterez le site Web officiel de Royal Philips (« Philips »). Tous les liens vers des sites Web tiers pouvant apparaître sur ce site sont fournis uniquement pour votre commodité et ne représentent en aucun cas une affiliation ou une approbation des informations fournies sur ces sites Web liés. Philips ne fait aucune déclaration ou garantie d'aucune sorte concernant les sites Web tiers ou les informations qu'ils contiennent.
Je comprendsYou are about to visit a Philips global content page
ContinueEn cliquant sur le lien, vous quitterez le site Web officiel de Royal Philips (« Philips »). Tous les liens vers des sites Web tiers pouvant apparaître sur ce site sont fournis uniquement pour votre commodité et ne représentent en aucun cas une affiliation ou une approbation des informations fournies sur ces sites Web liés. Philips ne fait aucune déclaration ou garantie d'aucune sorte concernant les sites Web tiers ou les informations qu'ils contiennent.
Je comprendsYou are about to visit a Philips global content page
ContinueChoisir le pays
France (Français)Notre site s'affiche mieux sur la dernière version d'Microsoft Edge, Google Chrome ou Firefox.