
Appuie-tête pour la neurologie
Permet de réduire les artefacts de mouvement pendant la procédure.
Il est essentiel de visualiser les pathologies extrêmement complexes que sont les malformations artério-veineuses (MAV), les fistules et autres malformations, pour décider de traiter ou de surveiller un patient. Depuis des décennies, les neurospécialistes s’appuient sur les solutions d’imagerie neurologique sophistiquées de Philips pour planifier et décider en toute confiance des interventions sur les MAV. Aujourd’hui, alors que le domaine évolue vers la surveillance médicale des MAV non rompues, nos capacités d’imagerie uniques peuvent à nouveau faire la différence.

SmartCT Angio fournit une vue volumétrique en quelques secondes pour faciliter l’évaluation des artères nourricières, des veines drainantes, des veines artérialisées, du nidus et de la pathologie rompue ou non rompue afin de guider la prise de décision. Les volumes 3D sont visualisés avec une haute résolution spatiale et une compensation automatique des mouvements du patient pour améliorer la visibilité des détails critiques.

La possibilité de visualiser l’anatomie vasculaire submillimétrique améliore les chances de succès et augmente la fiabilité dans le traitement. SmartCT Vaso fournit une imagerie 3D haute résolution qui révèle des informations clés sur les structures vasculaires cérébrales afin de permettre une évaluation spatiale optimale des vaisseaux dans le contexte des tissus mous.

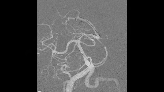
L’outil SmartCT Roadmap offre une superposition d’images 3D en temps réel pouvant être segmentée afin de mettre en évidence le vaisseau et les lésions cibles, permettant ainsi d’accélérer la navigation du cathéter. SmartCT Roadmap superpose une reconstruction 3D de l’arbre artériel, des segments de vaisseaux ou des annotations à des images fluoroscopiques en temps réel.

Lorsque vous surveillez des MAV au fil du temps, des artefacts de soustraction peuvent masquer des informations cliniques. La fonction de recalage automatique des pixels unique de Philips, ClarityIQ, permet de supprimer les informations susceptibles d’être trompeuses, en temps réel et sans intervention de l’utilisateur.

Pendant le traitement, les artefacts de soustraction peuvent masquer la direction dans laquelle les agents emboliques liquides se déplacent. L’utilisation de la fonction de recalage automatique des pixels dans notre solution ClarityIQ vous permet de visualiser la direction dans laquelle l’agent embolique liquide se déplace et son arrivée.

Le mode de collage Roadmap Pro filtre les vaisseaux déjà embolisés, ce qui vous permet de vous concentrer sur le produit que vous injectez et sur sa diffusion.
| Vérifier le résultat final et les hémorragies potentielles |

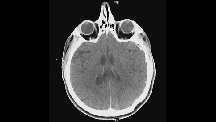
SmartCT Soft Tissue est une technique d’acquisition radiographique qui génère une visualisation de type TDM des tissus mous par rapport à d’autres structures au cours des procédures. Vous pouvez utiliser les images de type TDM pour évaluer les tissus mous après une MAV afin de vérifier le résultat final et les saignements potentiels lorsque le patient est encore sur la table.
Azurion propose un certain nombre d’innovations de processus de travail, afin d’aider le personnel à travailler aisément et efficacement, tout en restant focalisé exclusivement sur le patient et en gérant la dose de rayonnement lors des interventions sur les MAV.


Permet de réduire les artefacts de mouvement pendant la procédure.
You are about to visit a Philips global content page
Continue
Les ProcedureCards rationalisent et normalisent la configuration du système et permettent de réduire les erreurs de préparation dans les procédures d’AVC ischémique aigu. Il est possible d’ajouter des protocoles et/ou des listes de contrôle spécifiques à l’établissement à des ProcedureCards et de les afficher sur les moniteurs de façon à obtenir un processus de travail cohérent dans les situations d’urgence.
You are about to visit a Philips global content page
Continue
Permet de réduire la dose en positionnant le système ou la table sur la dernière image acquise afin de préparer la séquence suivante sans utiliser la fluoroscopie.
You are about to visit a Philips global content page
Continue * Söderman M, Holmin S, Andersson T, Palmgren C, Babic D, Hoornaert B. Image noise reduction algorithm for digital subtraction angiography: clinical results. Radiology. 2013 Nov;269(2):553-60.Les résultats de l’application des techniques de réduction de dose varient en fonction du type d’examen, de la taille du patient, de la région anatomique et des processus de travail. Le radiologue interventionnel assisté d’un physicien, le cas échéant, doit déterminer les paramètres appropriés pour chaque tâche clinique spécifique. Résultats basés sur le produit dose-surface d’une angiographie par soustraction numérique obtenu dans le cadre d’une étude randomisée prospective monocentrique menée sur 20 patients. Les résultats de l’angiographie par soustraction numérique effectuée pour Allura Xper avec ClarityIQ et Allura Xper sans ClarityIQ ont été obtenus sur le canal frontal et latéral sur un même patient, avec les mêmes paramètres de géométrie, de champ de vision et de protocole d’injection. La qualité de l’image était fondée sur une évaluation subjective (score 1-5, 1 =très faible, 5 =excellent, évaluation en aveugle par 3 radiologistes participant à l’étude).
La technologie ClarityIQ réduit la dose administrée au patient de 75 % en angiographie cérébrale par soustraction numérique*, tout en conservant une qualité d’image équivalente, par rapport à un système sans ClarityIQ pour prendre en charge une vaste population de patients. La fonction de compensation automatique des mouvements de la technologie ClarityIQ corrige les artefacts de mouvement et du crâne, ce qui est essentiel lors du placement de petits dispositifs à la base du crâne.
You are about to visit a Philips global content page
Continue
Offre un accès direct et un contrôle total des acquisitions de diagnostic pré-opératoires, des informations patient et des outils de planification depuis la table, pour un gain de temps et éviter les déplacements inutiles dans l’environnement stérile. Le module à écran tactile Pro permet de contrôler facilement les images et les applications depuis la table, avec la même simplicité qu’une tablette.
You are about to visit a Philips global content page
Continue
La technologie ClarityIQ réduit la dose administrée au patient de 75 % dans les procédures d’angiographie cérébrale par soustraction numérique (ASN),1 par rapport à un système sans ClarityIQ et ce, avec une qualité d’image équivalente. Sa fonction de compensation automatique des mouvements corrige les artefacts de mouvement et du crâne, ce qui est essentiel lors du positionnement de petits dispositifs à la base du crâne.

Zero Dose Positioning vous permet de déplacer la table, de modifier la hauteur de la table ou de déplacer le système à rayons X sur la dernière image afin de déterminer la position du nouveau centre, et ce, pour pouvoir réduire la dose. Il vous aide ainsi à préparer votre prochain cycle sans avoir recours à la fluoroscopie

Offre un accès direct et un contrôle total des examens d’imagerie diagnostique pré-opératoires, des données patient et des outils de planification depuis la table pour gagner du temps et éviter les déplacements inutiles dans la zone stérile.

Les ProcedureCards rationalisent et normalisent la configuration du système et permettent de réduire les erreurs de préparation. Sélectionnez AVM ProcedureCard pour configurer le système comme vous le souhaitez. Il est possible d’ajouter des protocoles et/ou des listes de contrôle d’anévrisme spécifiques à l’établissement à des ProcedureCards et de les afficher sur les moniteurs. Un hôpital a réduit de 12 % le temps de préparation en salle en s’appuyant sur les ProcedureCards.2

Permet d’immobiliser les patients agités sous sédation consciente afin de réduire les artefacts de mouvement pendant la procédure.
L’imagerie interventionnelle Philips propose des solutions pour le traitement des anévrismes cérébraux afin d’améliorer la fiabilité lors des interventions neurologiques.
Cliquez ici pour en savoir plus Références bibliographiques * comme décrit dans le Manuel d’utilisation de SmartCT. 1. Söderman M, Holmin S, Andersson T, Palmgren C, Babic D, Hoornaert B. Image noise reduction algorithm for digital subtraction angiography: clinical results. Radiology. 2013 Nov;269(2):553-60.Les résultats de l’application des techniques de réduction de dose varient en fonction du type d’examen, de la taille du patient, de la région anatomique et des processus de travail. Le radiologue interventionnel assisté d’un physicien, le cas échéant, doit déterminer les paramètres appropriés pour chaque tâche clinique spécifique. Résultats basés sur le produit dose-surface d’une angiographie par soustraction numérique obtenu dans le cadre d’une étude randomisée prospective monocentrique menée sur 20 patients. Les résultats de l’angiographie par soustraction numérique effectuée pour Allura Xper avec ClarityIQ et Allura Xper sans ClarityIQ ont été obtenus sur le canal frontal et latéral sur un même patient, avec les mêmes paramètres de géométrie, de champ de vision et de protocole d’injection. La qualité de l’image était fondée sur une évaluation subjective (score 1-5, 1 =très faible, 5 =excellent, évaluation en aveugle par 3 radiologistes participant à l’étude). 2. Selon une étude de simulation réalisée sur plus de 60 utilisateurs à travers le monde. Résultats obtenus au cours de tests utilisateur effectués entre novembre 2015 et février 2016. Ces tests ont été conçus et supervisés par Use-Lab GmbH, une entreprise indépendante et impartiale spécialisée dans la conception d’interfaces utilisateur et le conseil à l’élaboration de tests d’utilisabilité. Ils se sont déroulés auprès de 31 cliniciens basés aux États-Unis (16 médecins et 15 manipulateurs) et de 30 cliniciens basés au sein de l’Union européenne (15 médecins et 15 manipulateurs), qui ont utilisé la solution Azurion pour réaliser des procédures dans un environnement similaire à celui d’une salle de radiologie interventionnelle.
You are about to visit a Philips global content page
Continue