
Appuie-tête pour la neurologie
Permet de réduire les artefacts de mouvement pendant la procédure.
Les nouveaux dispositifs s’avèrent difficiles à visualiser lors du traitement des anévrismes cérébraux, ce qui allonge la durée de la procédure. Il est donc primordial d’obtenir une imagerie 2D et 3D précise pour orienter les décisions thérapeutiques et le positionnement des dispositifs, tout en gérant efficacement la dose de rayonnement.

SmartCT Angio est une technique d’acquisition à rayons X qui génère une visualisation 3D haute résolution complète des vaisseaux cérébraux à partir d’une seule séquence d’angiographie rotationnelle, contrôlée via l’écran tactile de la table. Cela améliore la visibilité d’une anatomie tortueuse ou complexe qui n’est pas visible sur une image 2D ou d’angiographie par soustraction numérique (ASN).


Améliorez la visualisation des stents endovasculaires, des flow diverters et d’autres dispositifs, ainsi que la morphologie des vaisseaux jusqu’à la veine perforante avec SmartCT Vaso. Cette technique d’acquisition est basée sur une acquisition Cone Beam CT et une injection de produit de contraste intra-artérielle. Elle est de plus en plus utilisée pour le suivi des anévrismes traités avec des stents de flow diverter afin de vérifier le positionnement du dispositif.

SmartCT Roadmap améliore la visualisation des vaisseaux superposés pour permettre une navigation précise du fil-guide et du cathéter dans les vaisseaux complexes. SmartCT Roadmap offre un niveau de précision élevé avec compensation en temps réel pour les mouvements du statif, de la table et des patients (petits mouvements).

SmartCT Angio fournit une vue volumétrique en quelques secondes pour faciliter l’évaluation de l’emplacement, de la taille, du cou et de la gravité de l’anévrisme pour la planification du traitement. Les volumes 3D sont visualisés avec une résolution spatiale élevée et une compensation automatique des mouvements du patient.

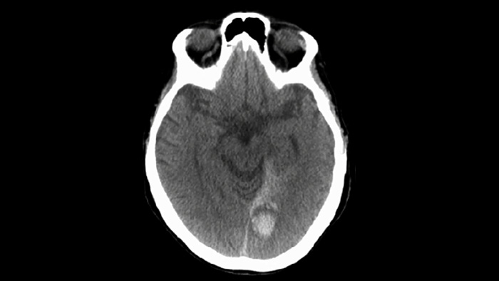
Utilisez l’imagerie SmartCT Soft Tissue dans la suite neurovasculaire pour vérifier la réussite du traitement et identifier les hémorragies.

Roadmap Pro est une feuille de route avancée à double contraste qui permet d’améliorer la visibilité des vaisseaux superposés tout en équilibrant l’exposition au rayonnement. Elle peut être personnalisée pour afficher l’avancement pendant le positionnement de l’antenne.
Azurion propose plusieurs innovations de processus de travail, afin d’aider le personnel de garde à travailler aisément et efficacement, tout en restant focalisé exclusivement sur le patient et en gérant la dose de rayonnement pendant le traitement des anévrismes cérébraux


Permet de réduire les artefacts de mouvement pendant la procédure.
You are about to visit a Philips global content page
Continue
Les ProcedureCards rationalisent et normalisent la configuration du système et permettent de réduire les erreurs de préparation dans les procédures d’AVC ischémique aigu. Il est possible d’ajouter des protocoles et/ou des listes de contrôle spécifiques à l’établissement à des ProcedureCards et de les afficher sur les moniteurs de façon à obtenir un processus de travail cohérent dans les situations d’urgence.
You are about to visit a Philips global content page
Continue
Permet de réduire la dose en positionnant le système ou la table sur la dernière image acquise afin de préparer la séquence suivante sans utiliser la fluoroscopie.
You are about to visit a Philips global content page
Continue * Söderman M, Holmin S, Andersson T, Palmgren C, Babic D, Hoornaert B. Image noise reduction algorithm for digital subtraction angiography: clinical results. Radiology. 2013 Nov;269(2):553-60.Les résultats de l’application des techniques de réduction de dose varient en fonction du type d’examen, de la taille du patient, de la région anatomique et des processus de travail. Le radiologue interventionnel assisté d’un physicien, le cas échéant, doit déterminer les paramètres appropriés pour chaque tâche clinique spécifique. Résultats basés sur le produit dose-surface d’une angiographie par soustraction numérique obtenu dans le cadre d’une étude randomisée prospective monocentrique menée sur 20 patients. Les résultats de l’angiographie par soustraction numérique effectuée pour Allura Xper avec ClarityIQ et Allura Xper sans ClarityIQ ont été obtenus sur le canal frontal et latéral sur un même patient, avec les mêmes paramètres de géométrie, de champ de vision et de protocole d’injection. La qualité de l’image était fondée sur une évaluation subjective (score 1-5, 1 =très faible, 5 =excellent, évaluation en aveugle par 3 radiologistes participant à l’étude).
La technologie ClarityIQ réduit la dose administrée au patient de 75 % en angiographie cérébrale par soustraction numérique*, tout en conservant une qualité d’image équivalente, par rapport à un système sans ClarityIQ pour prendre en charge une vaste population de patients. La fonction de compensation automatique des mouvements de la technologie ClarityIQ corrige les artefacts de mouvement et du crâne, ce qui est essentiel lors du placement de petits dispositifs à la base du crâne.
You are about to visit a Philips global content page
Continue
Offre un accès direct et un contrôle total des acquisitions de diagnostic pré-opératoires, des informations patient et des outils de planification depuis la table, pour un gain de temps et éviter les déplacements inutiles dans l’environnement stérile. Le module à écran tactile Pro permet de contrôler facilement les images et les applications depuis la table, avec la même simplicité qu’une tablette.
You are about to visit a Philips global content page
Continue
La technologie ClarityIQ réduit la dose administrée au patient de 75 % dans les procédures d’angiographie cérébrale par soustraction numérique (ASN),1 par rapport à un système sans ClarityIQ et ce, avec une qualité d’image équivalente. Sa fonction de compensation automatique des mouvements corrige les artefacts de mouvement et du crâne, ce qui est essentiel lors du positionnement de petits dispositifs à la base du crâne.

Zero Dose Positioning vous permet de déplacer la table, de modifier la hauteur de la table ou de déplacer le système à rayons X sur la dernière image afin de déterminer la position du nouveau centre, et ce, pour pouvoir réduire la dose. Il vous aide ainsi à préparer votre prochain cycle sans avoir recours à la fluoroscopie

Offre un accès direct et un contrôle total des examens d’imagerie diagnostique pré-opératoires, des données patient et des outils de planification depuis la table pour gagner du temps et éviter les déplacements inutiles dans la zone stérile.

Les ProcedureCards2 rationalisent et normalisent la configuration du système et réduisent les erreurs de préparation. Sélectionnez la ProcedureCard anévrisme pour configurer le système comme vous le souhaitez.

Permet d’immobiliser les patients agités sous sédation consciente afin de réduire les artefacts de mouvement pendant la procédure.
Soyez prêt à relever de nouveaux défis dans le traitement d’un accident vasculaire cérébral ischémique.
Cliquez ici pour en savoir plusLes solutions d’imagerie neurovasculaire sophistiquées de Philips permettent une planification, un suivi médical et des décisions de traitement en toute confiance pour les interventions sur les malformations artério-veineuses.
Cliquez ici pour en savoir plus Références bibliographiques
1. Söderman M, Holmin S, Andersson T, Palmgren C, Babic D, Hoornaert B. Image noise reduction algorithm for digital subtraction angiography: clinical results. Radiology. 2013 Nov;269(2):553-60.Les résultats de l’application des techniques de réduction de dose varient en fonction du type d’examen, de la taille du patient, de la région anatomique et de la pratique clinique. Le radiologue interventionnel assisté d’un physicien, le cas échéant, doit déterminer les paramètres appropriés pour chaque tâche clinique spécifique. Résultats basés sur le produit dose-surface d’une angiographie par soustraction numérique obtenu dans le cadre d’une étude randomisée prospective monocentrique menée sur 20 patients. Les résultats de l’angiographie par soustraction numérique effectuée pour Allura Xper avec ClarityIQ et Allura Xper sans ClarityIQ ont été obtenus sur le canal frontal et latéral sur un même patient, avec les mêmes paramètres de géométrie, de champ de vision et de protocole d’injection. La qualité de l’image était fondée sur une évaluation subjective (score 1-5, 1 =très faible, 5 =excellent, évaluation en aveugle par 3 radiologistes participant à l’étude).
2. Selon une étude de simulation réalisée sur plus de 60 utilisateurs à travers le monde. Résultats obtenus au cours de tests utilisateur effectués entre novembre 2015 et février 2016. Ces tests ont été conçus et supervisés par Use-Lab GmbH, une entreprise indépendante et impartiale spécialisée dans la conception d’interfaces utilisateur et le conseil à l’élaboration de tests d’utilisabilité. Ils se sont déroulés auprès de 31 cliniciens basés aux États-Unis (16 médecins et 15 manipulateurs) et de 30 cliniciens basés au sein de l’Union européenne (15 médecins et 15 manipulateurs), qui ont utilisé la solution Azurion pour réaliser des procédures dans un environnement similaire à celui d’une salle de radiologie interventionnelle.
You are about to visit a Philips global content page
Continue