Accident vasculaire cérébral ischémique

Traitement d’un accident vasculaire cérébral ischémique

Icône neurovasculaire

Fait partie de Soins neurovasculaires

Soyez prêt à relever de nouveaux défis dans le traitement d’un accident vasculaire cérébral ischémique.

 

Nous constatons une forte augmentation des interventions de thrombectomie en tant que traitement de première intention pour les patients souffrant d’un accident vasculaire cérébral ischémique. Dans ce domaine, on observe également un passage d’une sélection des patients basée sur le temps à une sélection basée sur l’image. Notre suite neurovasculaire a été développée pour répondre à ces tendances. Elle assure des niveaux élevés d’efficacité procédurale et redéfinit les résultats pour vos patients victimes d’un accident vasculaire cérébral.

Principaux produits pour cette procédure

Cartes de procédure

ProcedureCards

Un hôpital a réduit de 12 % le temps de préparation en salle en s’appuyant sur les ProcedureCards (cartes de procédures).1

Permettent de rationaliser et d’uniformiser la configuration du système

Permettent de corriger les erreurs de préparation

    Solutions cliniques pour le traitement des accidents vasculaires cérébraux ischémiques

    Image d’infographie
    Trois solutions de TDM intelligentes

    Visualisation de type TDM


    SmartCT Soft Tissue  génère une visualisation des tissus mous de type TDM et prend en charge le diagnostic des AVC de trois façons. Une acquisition sans produit de contraste facilite la détection des changements ischémiques précoces. Une acquisition en phase précoce permet d’identifier l’occlusion proximale. Une acquisition avec agent de contraste en phase tardive prend en charge la détection des collatérales.

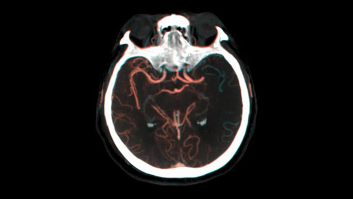
    SmartCT Vaso IV

    Vérifier l’emplacement et la longueur d’un caillot

    SmartCT Vaso permet de visualiser au-delà du caillot grâce à l’imagerie péri-procédurale de l’aspect des vaisseaux distaux dans les accidents vasculaires cérébraux ischémiques. SmartCT Vaso est une technique basée sur une acquisition Cone Beam CT à faisceau conique et une injection de produit de contraste intra-artérielle. Elle permet la visualisation au-delà du caillot avec l’imagerie péri-procédurale de l’aspect des vaisseaux distaux dans l’accident vasculaire cérébral ischémique. Grâce au remplissage rétrograde, les structures des vaisseaux avant et après le caillot deviennent visibles. SmartCT Vaso 3D Roadmap vous aide à visualiser les dispositifs de retrait de caillot.

    Voir remplissage des collatérales

    Visualisation du remplissage des collatérales

    Double affichage permettant de visualiser les volumes de TDM à faisceau conique en début et en fin de phase côte à côte, ce qui améliore l’identification de la pénombre et permet la visualisation du remplissage des collatérales.

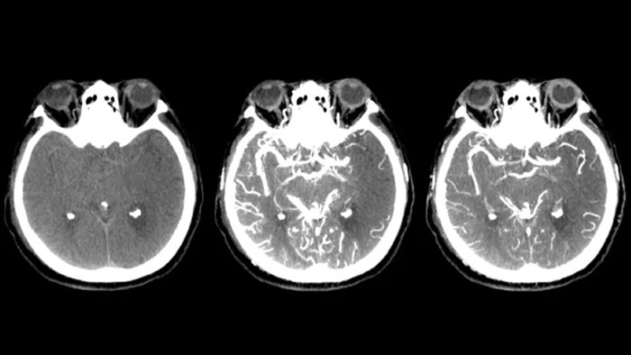
    Vérification péri-procédurale des hémorragies

    SmartCT Soft Tissue

    Utilisez des images de SmartCT Soft Tissue (type TDM) de la suite neurovasculaire pour vérifier la réussite du traitement et les hémorragies.

    Images nettes avec ASN 2D avec technologie ClarityIQ

    ASN 2D avec la technologie ClarityIQ

    ClarityIQ applique la compensation automatique des mouvements lors de l’angiographie par soustraction numérique (ASN) en temps réel pour maintenir la netteté des images des vaisseaux et contribuer à une prise de décision fiable tout au long des procédures d’AVC.

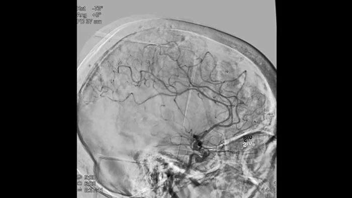
    Les références anatomiques favorisent une navigation 3D précise

    Les références anatomiques favorisent une navigation 3D précise

    SmartCT Roadmap fournit des références anatomiques permettant une navigation précise du fil-guide, du cathéter et du dispositif jusqu’au caillot.

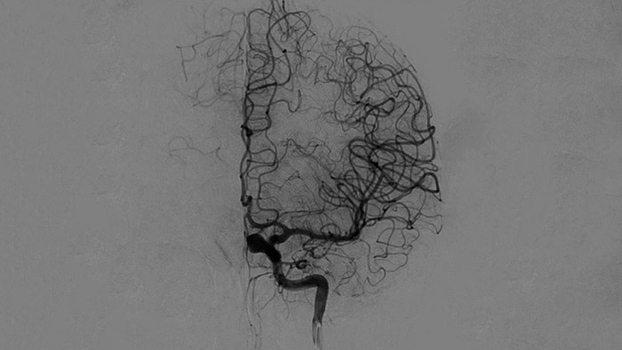
    Confirmez la réussite du traitement

    Visualisation d’angiographie par soustraction numérique (ASN)

    Les visualisations d’angiographie par soustraction numérique (ASN) de haute qualité vous permettent d’évaluer si vous avez retiré le caillot complet et si des morceaux de caillot ont été dispersés de manière distale dans le cerveau. Vous pouvez vérifier le rétablissement du débit sanguin dans la pénombre et contrôler les hémorragies péri-procédurales.

    Améliorez la visualisation des vaisseaux

    Roadmap Pro

    Prenez des décisions éclairées concernant l’accessibilité du caillot et la voie à utiliser. Roadmap Pro est une cartographie avancée à double contraste, permettant d’améliorer la visualisation des vaisseaux superposés, tout en équilibrant l’exposition au rayonnement.

    Innovations de processus de travail pour le traitement des accidents vasculaires cérébraux ischémiques


    Azurion propose plusieurs innovations de processus de travail, afin d’aider le personnel de garde à travailler aisément et efficacement, tout en restant focalisé exclusivement sur le patient et en gérant la dose de rayonnement lors des interventions pour AVC ischémique aigu.

    Azurion biplan neuro cérébral
    FlexVision Pro et TSM Pro

    Le contrôle complet de la table permet de gagner du temps

    FlexVision Pro vous offre un accès direct et un contrôle total des acquisitions de diagnostic pré-opératoires, des informations patient et des outils de planification depuis la table, pour un gain de temps et éviter les déplacements inutiles dans l’environnement stérile. Le module à écran tactile Pro permet de contrôler facilement les images et les applications depuis la table, avec la même simplicité qu’une tablette.

    Le fonctionnement multi-tâches raccourcit les temps de procédure

    Travail en parallèle instantané

    Le travail en parallèle instantané permet aux membres de l’équipe de travailler sur différentes tâches en même temps sans s’interrompre mutuellement afin de réduire la durée des procédures pour les patients victimes d’un accident vasculaire cérébral critique.

    L’appuie-tête pour la neurologie contribue à réduire les artefacts de mouvement

    Appuie-tête pour la neurologie desktop

    Permet d’immobiliser les patients agités sous sédation consciente afin de réduire les artefacts de mouvement pendant la procédure.

    Table d’opération intégrée pour les soins critiques

    Table d’opération Getinge Magnus

    La table d’opération Getinge Magnus est utilisée pour les soins d’urgence et de traumatologie. Elle est synchronisée avec les systèmes de radiologie Philips pour tirer parti des solutions avancées Philips.

    Azurion 7 C20 simplifie les procédures

    Table d’opération Getinge Magnus

    Les systèmes d’angiographie monoplans sont de plus en plus utilisés comme systèmes dédiés aux AVC ou comme systèmes de secours dans les services d’intervention neurologique, en complément d’un système biplan. L’Azurion 7 C20 est compatible avec tous les outils interventionnels neurologiques avancés.

    Traitement plus rapide des AVC.
    Améliorez les résultats.
     

    En cas d’accident vasculaire cérébral aigu, chacun mérite les meilleurs soins. Aujourd’hui, davantage de patients bénéficient d’une thrombectomie mécanique grâce à l’évolution des directives, qui élargissent la fenêtre temporelle pour le traitement endovasculaire.  

    Vidéo DTAS

    Découvrez les différentes procédures d’imagerie interventionnelle neurovasculaire

    • Traitement de l’anévrisme cérébral

      Traitement de l’anévrisme cérébral

      L’imagerie interventionnelle Philips propose des solutions pour le traitement des anévrismes cérébraux afin d’améliorer la fiabilité lors des interventions neurologiques.

      Cliquez ici pour en savoir plus
    • Traitement des malformations artério-veineuses

      Traitement des malformations artério-veineuses

      Les solutions d’imagerie neurovasculaire sophistiquées de Philips permettent une planification, un suivi médical et des décisions de traitement en toute confiance pour les interventions sur les malformations artério-veineuses.

      Cliquez ici pour en savoir plus

    Références bibliographiques

     

    *Tel que décrit dans le manuel d’utilisation de SmartCT 

     

    1. Söderman M, Holmin S, Andersson T, Palmgren C, Babic D, Hoornaert B. Image noise reduction algorithm for digital subtraction angiography: clinical results. Radiology. 2013 Nov;269(2):553-60.Les résultats de l’application des techniques de réduction de dose varient en fonction du type d’examen, de la taille du patient, de la région anatomique et de la pratique clinique. Le radiologue interventionnel assisté d’un physicien, le cas échéant, doit déterminer les paramètres appropriés pour chaque tâche clinique spécifique. Résultats basés sur le produit dose-surface d’une angiographie par soustraction numérique obtenu dans le cadre d’une étude randomisée prospective monocentrique menée sur 20 patients. Les résultats de l’angiographie par soustraction numérique effectuée pour Allura Xper avec ClarityIQ et Allura Xper sans ClarityIQ ont été obtenus sur le canal frontal et latéral sur un même patient, avec les mêmes paramètres de géométrie, de champ de vision et de protocole d’injection. La qualité de l’image était fondée sur une évaluation subjective (score 1-5, 1 =très faible, 5 =excellent, évaluation en aveugle par 3 radiologistes participant à l’étude).
     

    2. Selon une étude de simulation réalisée sur plus de 60 utilisateurs à travers le monde. Résultats obtenus au cours de tests utilisateur effectués entre novembre 2015 et février 2016. Ces tests ont été conçus et supervisés par Use-Lab GmbH, une entreprise indépendante et impartiale spécialisée dans la conception d’interfaces utilisateur et le conseil à l’élaboration de tests d’utilisabilité. Ils se sont déroulés auprès de 31 cliniciens basés aux États-Unis (16 médecins et 15 manipulateurs) et de 30 cliniciens basés au sein de l’Union européenne (15 médecins et 15 manipulateurs), qui ont utilisé la solution Azurion pour réaliser des procédures dans un environnement similaire à celui d’une salle de radiologie interventionnelle.

    Souhaitez-vous en savoir plus sur Traitement d’un accident vasculaire cérébral ischémique

    Nous souhaitons répondre au mieux à vos attentes

    Dites-nous comment vous aider

    1
    Sélectionnez votre centre d'intérêt
    2
    Détails du contact

    You are about to visit a Philips global content page

    Continue

    You are about to visit a Philips global content page

    Continue

    Notre site s'affiche mieux sur la dernière version d'Microsoft Edge, Google Chrome ou Firefox.

    Êtes-vous un professionnel de santé ?
    Veuillez cocher la case

    Remarque :

    Les informations présentes sur ce site Internet sont destinées à des professionnels de santé.