
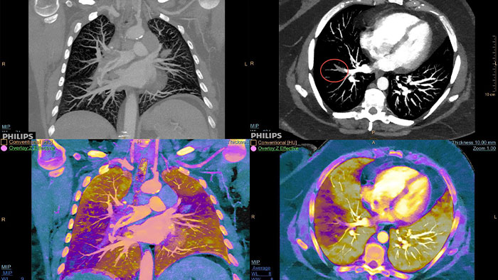
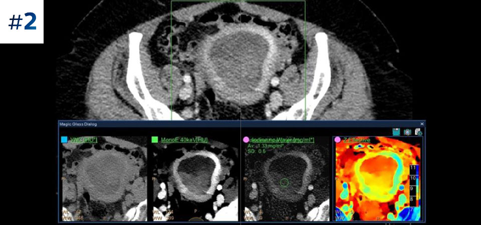
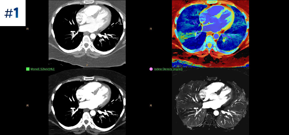
Conservez vos repères Une seule acquisition pour des données conventionnelles et spectrales rapides et à faible dose pour chaque patient, à chaque fois.

Toujours disponible 100% spectral, 100% du temps pour des résultats toujours disponibles même de façon rétrospective.

Moins d'examens complémentaires Une meilleure caractérisation et visualisation des tissus contribuent à réduire le besoin d'investigation complémentaire notamment lors de découvertes fortuites.

Pour tous les patients Permet de prendre en charge de tous les patients, de la pédiatrie à la bariatrie.
Allez plus loin que l'imagerie conventionnelle. Constatez par vous-même la pertinence de l'imagerie spectrale à la détection pour améliorer votre confiance diagnostique.
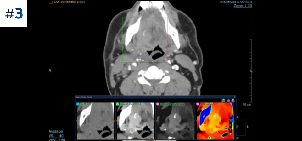
Masse au niveau du cou
Téléchargez les cas ici
Notre scanner à détection spectrale Philips nous permet d'acquérir des données conventionnelles et spectrales en une seule acquisition, sans changement dans notre flux de travail actuel.
Dr. Charles White
Professeur de Médecine Pulmonaire et de Soins Intensifs, Université du Maryland
L'année s'annonce riche en innovations pour le scanner à détection spectrale. Inscrivez-vous pour recevoir les dernières actualités et soyez le premier informé des nouvelles à venir ou contactez un commercial pour en savoir plus.

Voir la différence entre le scanner conventionnel et la détection spectrale

Revivez le sommet virtuel Spectral CT 2020 Philips* *Contenu en anglais

Découvrez les ateliers virtuels du spectral : des contenus cliniques riches !

Transformez la prise en charge de vos patients avec IQon Spectral CT

Découvrir l'ensemble des solutions scanner
Le scanner iQon Spectral CT est un dispositif médical de classe IIb fabriqué par Philips et dont l’évaluation de la conformité a été réalisé par l’organisme notifié TUV Rheinland CE0197. Il est destiné au diagnostic médical par imagerie tomodensitométrique. Les actes diagnostiques sont pris en charge par les organismes d’assurance maladie dans certaines situations. Lisez attentivement la notice d’utilisation. Mars 2021
You are about to visit a Philips global content page
Continue