La solution d’échographie dont vous avez besoin pour l’évaluation du foie
Échographe EPIQ
Découvrez les spécificités et fonctionnalités avancées de notre solution échographique innovante pour l’évaluation, le traitement et la surveillance des maladies hépatiques.

Élastographie temps réel par ondes de cisaillement (ou ondes shear-wave) et quantitative ElastQ.

Qualité d’image et résolution spatiale, même sur les patients techniquement difficiles.

Fusion d’images simplifiée avec corrélation automatique. Optimisation de la fonction de navigation et de visualisation des aiguilles pour des processus plus performants.

L’imagerie de contraste ultrasonore est entièrement intégrée aux processus de travail standard.

Par simple pression sur un bouton, MaxVue vous offre un affichage de vos images en plein écran et en haute définition.

L’imagerie échographique ElastQ est l’évaluation quantitative avec codage couleur de la dureté des tissus, en temps réel, sur une large région d’intérêt (ROI). Les cliniciens peuvent facilement évaluer la rigidité hépatique en temps réel et prendre des mesures quantitatives avec plusieurs points d’échantillonnage. L’imagerie échographique ElastQ offre également la possibilité de réaliser des mesures rétrospectives sur des images stockées. L’affichage de la cartographie de fiabilité unique fait appel à l’analyse intelligente des structures, qui indique à l’utilisateur les zones de tissu soumis à une propagation appropriée des ondes de cisaillement et renforce l’assurance de ses mesures.

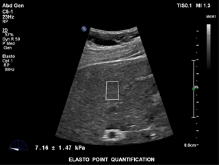
ElastPQ est une méthode d’évaluation de la rigidité hépatique facile d’utilisation permettant d’obtenir les valeurs sur une ROI prédéfinie. L’imagerie en temps réel servant de masque et guide, la ROI est positionnée sur la zone d’intérêt et les données relatives à la dureté des tissus (moyennes et écart interquartile, notamment) sont obtenues et affichées en quelques secondes. Plusieurs échantillons peuvent être enregistrés et un rapport sur les tissus hépatiques peut être généré à partir des résultats.
Philips s’engage à répondre à l’évolution des besoins dans le domaine de la santé à travers des produits innovants. Notre meilleur conseil aux cliniciens envisageant d’acheter un échographe Premium ? Considérer le passé, apprécier le présent et envisager le futur. Envisager EPIQ.
Le système Philips EPIQ est un dispositif médical de classe IIa, fabriqué par Philips et dont l’évaluation de la conformité a été réalisée par l’organisme notifié BSI 0086. Il est destiné au diagnostic médical par imagerie ultrasonore. Les actes diagnostiques sont pris en charge par les organismes d’assurance maladie dans certaines situations. Lisez attentivement la notice d’utilisation. Juin 2018
You are about to visit a Philips global content page
Continue