À chaque étape de la vie d’une femme, ou d’une vie en développement, les solutions d’échographie de Philips sont conçues pour augmenter la fiabilité du diagnostic, optimiser votre processus de travail et vous rapprocher de vos patientes. Dans les moments complexes, disposer du système d’échographie Philips peut vous aider à apporter à vos patientes les soins et le réconfort dont elles ont besoin.

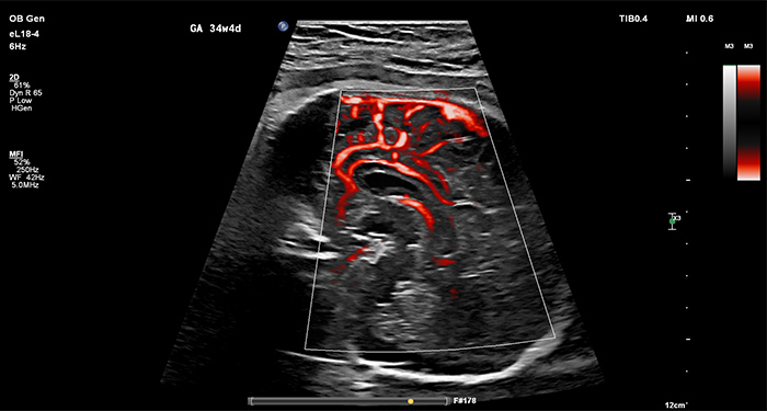
Le mode d’imagerie Philips MicroFlow Imaging (MFI), disponible sur la sonde eL18-4, permet de détecter et d’apprécier des flux sanguins de petit calibre et/oude petite vitesseau niveau des vaisseaux du fœtus, du placenta, de l’utérus et des ovaires. Visionnez la vidéo Sonde Philips eL18-4 avec MicroFlow Imaging (MFI) ci-dessous pour en savoir plus.

De nouveaux outils pour le diagnostic obstétricalautomatisentles mesures de biométries fœtales pour les intégrer au rapport, tandis que de nouvelles fonctionnalités dans le domaine de la gynécologie offrent une flexibilité inédite en matière d’imagerie échographique. Visionnez la vidéo Philips aBiometry Assist (Assistant de mesures de biométrie) avec fonction Tilt (Inclinaison) ci-dessous pour en savoir plus.

Par pression sur un simple bouton, MaxVue vous offre un affichage de vos images en plein écran et en haute définition. Visionnez la vidéo Échographie haute définition Philips MaxVue ci-dessous pour en savoir plus.
Chez Philips, nous savons que la relation entre une femme et son gynécologue/obstétricien est, par nature, personnelle. Nous avons conçu nos solutions pour vous aider à entretenir une relation de confiance avec chacune de vos patientes. Chaque jour et chaque patiente apportent quelque chose de nouveau. Peu importe le défi diagnostique, vous avez besoin d’une imagerie échographique de la plus haute qualité pour prendre des décisions en toute confiance, même avec les patientes les plus difficiles sur le plan technique. Nous avons mis au point l’échographe OB/Gyn EPIQ de Philips de manière à ce que vous disposiez des bons outils au bon moment pour réaliser des diagnostics précis et précoces. Vous souhaitez en savoir plus sur le système EPIQ de Philips ?
Le système Philips EPIQ est un dispositif médical de classe IIa, fabriqué par Philips et dont l’évaluation de la conformité a été réalisée par l’organisme notifié BSI 0086. Il est destiné au diagnostic médical par imagerie ultrasonore. Les actes diagnostiques sont pris en charge par les organismes d’assurance maladie dans certaines situations. Lisez attentivement la notice d’utilisation. Juin 2018
You are about to visit a Philips global content page
Continue