Pour permettre aux équipes vasculaires de se concentrer sur le traitement des patients, nous faisons en sorte que le guidage d'image avancé soit aussi simple et efficace que possible. Utilisez efficacement l'imagerie 2D et 3D en direct dans la salle d'opération tout en conservant l'espace et la flexibilité dont vous avez besoin pour votre méthode de travail qui vous convient le plus. Nos outils interventionnels dédiés et nos dispositifs de pointe prennent en charge chaque étape de votre procédure endovasculaire - et ce, lorsque vous décidez, guidez, traitez et confirmez les résultats.
Solutions pour les procédures aortiques proposées par l’imagerie interventionnelle Philips.
Cliquez ici pour en savoir plusSolutions pour les interventions artérielles périphériques proposées par l’imagerie interventionnelle Philips.
Cliquez ici pour en savoir plus
Ce système monté au plafond offre une liberté de positionnement remarquable aux équipes médicales. La flexibilité illimitée de l'imagerie vous permet d'effectuer des procédures périphériques sans déplacer la table et de réaliser des procédures EVAR depuis pratiquement n'importe quelle position autour de la table. Contrôlez de manière transparente toutes les applications pertinentes à partir d'un seul écran tactile situé sur la table, pour vous aider à prendre des décisions rapides et éclairées dans le domaine stérile. En travaillant autour de vous, Philips Azurion avec FlexArm vous aide à atteindre vos objectifs.

L'échographie intravasculaire (IVUS) est une technologie d'imagerie par cathéter qui permet aux médecins de visualiser les vaisseaux sanguins de l'intérieur vers l'extérieur pour faciliter l'évaluation de la présence et de l'étendue de la maladie. L'IVUS aide à décider, guider et confirmer le traitement interventionnel approprié pour chaque patient.
Aujourd'hui, la chirurgie vasculaire consiste à combiner une imagerie de haute qualité avec l'environnement stérile d'un bloc opératoire et c'est là que la salle hybride prend tout son sens."
Prof. Dr. Ramon Varcoe
Hôpital privé du Prince de Wales, Sydney, Australie
L'Institut vasculaire de l'hôpital privé du Prince de Wales revient sur les avantages spécifiques de Philips Azurion avec FlexArm dans la salle d'opération hybride. Découvrez leur témoignage pour les procédures endovasculaires ouvertes et angiographiques.

SmartCT Soft Tissue est une technique d'acquisition de rayons X qui génère une visualisation de type CT des tissus mous par rapport à d'autres structures pendant les procédures - le tout contrôlé par l'écran tactile de la table. Vous pouvez utiliser les images de type CT pour évaluer les tissus mous, la structure osseuse et le déploiement du stent.

Cette technique d'acquisition par rayons X permet de générer une visualisation complète en 3D haute résolution des vaisseaux cérébraux, cardiaques, abdominaux ou périphériques à partir d'un seul passage d'angiographie rotationnelle, le tout contrôlé par l'écran tactile de la table.

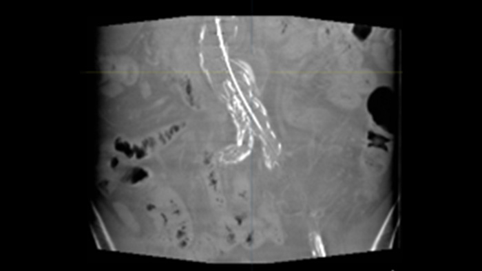
SmartCT Roadmap fournit une superposition d'images 3D en direct qui peut être segmentée pour mettre en évidence le vaisseau et les lésions ciblés, ce qui permet une navigation rapide du cathéter. Le SmartCT Roadmap superpose une reconstruction 3D de l'arbre vasculaire, des segments de vaisseaux ou des annotations avec des images fluo en direct.

IntraSight fournit plus d'informations grâce aux modalités iFR/FFR et IVUS en conjonction avec le contrôle de l'écran tactile côté table de l'angiogramme. Il est construit sur une plate-forme de base capable d'ajouter rapidement de nouvelles innovations à votre laboratoire.
Nos systèmes d'imagerie de pointe, nos outils cliniques avancés et nos dispositifs permettent aux chirurgiens de décider, de guider, de traiter et de confirmer les résultats.
Cliquez ici pour en savoir plusNos systèmes d’imagerie innovants et nos outils et dispositifs cliniques avancés permettent aux chirurgiens de décider, guider, traiter et confirmer les résultats.
Cliquez ici pour en savoir plus La salle interventionnelle Azurion est un dispositif médical de classe IIb, fabriqué par Philips et dont l’évaluation de la conformité a été réalisée par l'organisme notifié DEKRA Certification BV CE0344. Elle est destinée aux procédures diagnostiques et interventionnelles. La salle interventionnelle en environnement bloc est prise en charge par les organismes d’assurance maladie dans certaines situations. Lisez attentivement la notice d’utilisation. Janvier 2022.
IntraSight est un dispositif médical de classe IIa fabriqué par Philips et dont l’évaluation de la conformité a été réalisée par l’organisme notifié BSI CE2797. Il est destiné à l'échographie intravasculaire des artères coronaires et des vaisseaux de la vascularisation périphérique. Les actes effectués avec ce dispositif sont pris en charge par les organismes d’assurance maladie dans certaines situations. Lisez attentivement la notice d’utilisation. Janvier 2022.
VesselNavigator est un dispositif de classe IIa, fabriqué par Philips et dont l'évaluation de la conformité a été réalisée par l'organisme notifié DEKRA Certification BV 0344. Il est destiné à la visualisation, l’analyse et au diagnostic médical par imagerie. Les actes diagnostiques sont pris en charge par les organismes d’assurance maladie dans certaines situations. Lisez attentivement le manuel d’utilisation. Janvier 2022.
You are about to visit a Philips global content page
Continue